흉부(폐CT)
저선량 또는 조영 CT로 폐실질·기도·종격동·흉벽을 신속히 평가하며, 목적에 따라 LDCT/HRCT/CTPA 등 프로토콜을 선택합니다.
심장/순환기 내과
에 관해 궁금해하시다가 심장내과를 찾아오시는 분들이 많습니다.
가슴 통증이나 두근거림이 생기면 스트레스인가?, 응급실에 갈 정도는 아닌데 하며 그냥 지나치시는 경우도 적지 않습니다. 하지만 심장 질환은 때로 가볍고 애매한 증상으로 시작되기 때문에 정확한 검사가 매우 중요합니다.

심장 질환은 다양한 방식으로 신호를 보냅니다.
반드시 '찌르는 듯한 통증'만이 심장 문제는 아닙니다.
다음과 같은 증상이 반복된다면 심장 질환의 초기 신호일 수 있습니다.
이런 증상들이 지속되거나 점점 잦아진다면,
심장 자체에 이상이 생기고 있다는 신호일 수 있습니다.
이럴 때는 빠르게 심장내과, 그 중에서도 순환기내과 전문의 진료를 받는 것이 중요합니다.

많은 분들이 그냥 내과에 가면 되지 않을까? 라고 생각하십니다.
하지만 심장은 특수한 장비와 해석 경험이 필요한 장기입니다.
심전도, 24시간 심전도(홀터), 심장초음파, 관상동맥 CT 등 심장 질환을 진단하는 검사는 표준화된 장비와 정밀한 해석이 동시에 필요합니다. 특히 심장초음파와 CT는 숙련된 전문의가 판독해야 정확도가 높습니다.
순환기내과 전문의는 수천 건 이상의 심장 관련 판독과 치료 경험을 기반으로 심장 질환의 초기 징후를 빠르고 정확하게 포착할 수 있습니다. 특히 협착이 미세하거나 증상이 애매한 경우, 경험 있는 전문의의 판단이 진단을 좌우합니다.
협심증, 심근경색, 심부전, 부정맥 등은 가슴이 아프다가 아닌 답답하다, 속이 불편하다, 숨이 찬다 같은 비특이적인 증상으로 나타나기도 합니다.
이런 증상은 위장 문제나 스트레스로 오해받기 쉽지만,
정확한 감별 없이 넘기면 심각한 심장 질환으로 이어질 수 있습니다.
심장 질환은 단순히 정상/이상을 판단하는 게 아니라 약물 조절, 생활습관 개선, 반복 검사, 위험인자 관리까지 지속적인 팔로우업(follow-up)이 필요한 질환입니다.순환기내과에서는 단발성 검사만이 아닌, 장기적인 심장 건강을 위한 관리까지 이뤄져야 합니다.

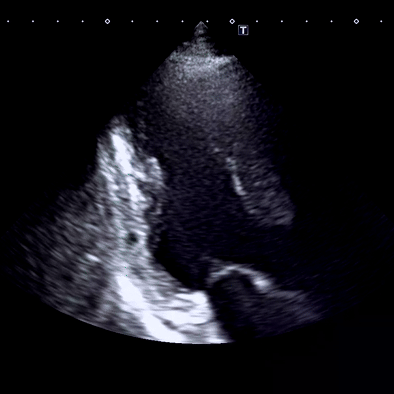
심장내과에서 가장 중요한 검사인 심장초음파 검사 결과
심장은 움직이기 때문에 움직임을 관찰하는 심장초음파가 매우 유용한 검사입니다.

심장 기저부 외측 벽에서 국소적인 벽운동 장애(심근경색 환자)


전문의 상담
심전도 & 혈액검사
심장초음파
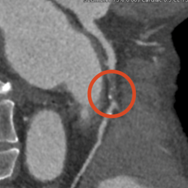
관상동맥 CT

저희 병원은 내과, 영상의학과 협진 시스템을 기반으로,
증상의 원인을 정확하고 신속하게 진단합니다.
📍 주 소 :
성남시 분당구 분당내곡로 131 판교테크원타워 지하1층
🅿️ 주 차 :
판교 테크원 빌딩 내 2시간 무료 주차
지하 2층~7층까지 주차시설
🚇 지하철 :
판교역 1번 출구에서 지하로 연결
🕘평일 : 오전 9:00 - 오후 6:00
🕘토요일 : 오전 10:00 - 오후 4:00
🕘점심 : 오후 1:00 ~ 오후 2:00
🕘평일 : 오전 7:30 - 오후 5:00
🕘토요일 : 오전 7:30 - 오후 1:00
🕘점심 : 오후 1:00 ~ 오후 2:00
지앤이알파돔메디컬센터의원 | 대표 : 박세진 | 373-96-01477
Copyright G&E Medical All Right Reserved.
📍 주 소 :
성남시 분당구 분당내곡로 131 판교테크원타워 지하1층
🅿️ 주 차 :
판교 테크원 빌딩 내 2시간 무료 주차
지하 2층~7층까지 주차시설
🚇 지하철 :
판교역 1번 출구에서 지하로 연결
🕘평일 : 오전 9:00 - 오후 6:00
🕘토요일 : 오전 9:00 - 오후 1:00
🕘점심 : 오후 1:00 ~ 오후 2:00
🕘평일 : 오전 7:30 - 오후 1:00
🕘토요일 : 오전 7:30 - 오후 1:00
🕘점심 : 오후 1:00 ~ 오후 2:00
접수는 운영시간 30분 전에 마감됩니다.
지앤이알파돔메디컬센터의원 | 대표 : 박세진 | 373-96-01477
Copyright G&E Medical All Right Reserved.