간기능 혈액검사
혈액으로 간세포 손상(ALT/AST), 담즙정체(ALP/GGT, 빌리루빈), 합성기능(알부민, PT/INR)을 평가하는 기본 선별·추적 검사입니다.
간염 보균자, 정기적인 검사가 필요한 이유
간이 특별히 아프거나 증상이 없어도, 조용한 위협이 속삭이고 있을 수도 있습니다.
간이 특별히 아프거나 증상이 없어도, 혹시 조용한 위협이 속삭이고 있을 수도 있습니다.
왜냐하면 만성 B형, C형 간염 바이러스 보균자에게는 간암(간세포암종)이 시간의 흐름에 따라 조용히 자라고, 크기가 커질수록 치료가 어려워지기 때문입니다. 그리고 암은 한 번커지면 빠르게 퍼지거나 간의 중요한 기능이 손상되기도 합니다.
6개월마다 정기적으로 검사하는 것은 이러한 암의 성장 속도가 평균 4~5개월이라는 연구 결과와,
더 긴 간격 검사에서는 암이 이미 상당히 자란 뒤 발견되는 위험이 있다는 근거들이 있기 때문입니다.
방치하면 치료 가능성이 줄고, 선택 가능한 치료 방식(수술, 고주파열치료 등)이 제한됩니다. 그래서 정기적인 검사, 특히 6개월마다 복부초음파와 혈액검사를 통한 간 기능/바이러스 수치 확인은 간의 건강을 지키는 효과적인 첫걸음입니다.
B형, C형 간염 바이러스 보균자는 겉으로 건강해 보여도, 시간이 지나면서 간경변(간이 딱딱하게 굳는 상태)이나 간암으로 진행할 수 있습니다. 문제는 초기에는 특별한 증상이 없어 스스로 알아차리기 어렵다는 점입니다. 따라서 정기적인 추적검사를 통해 조기에 변화를 발견하고, 필요 시 치료를 시작해야 큰 병으로 악화되는 것을 막을 수 있습니다.


초기 간질환은 특별한 증상이 없지만, 간이 손상되면서 나타나는 신호들이 있습니다.
혹시 아래 증상이 있다면 주의하세요.
✔ 쉽게 피로감을 느낀다
✔ 식욕이 떨어지고 체중이 줄어든다.
✔ 소화가 잘 안 되고 복부 불편감이 있다.
✔ 얼굴눈 흰자위가 노랗게 변한다(황달)
✔ 다리에 붓기나 복부 팽만이 있다.


저희 병원은 내과, 영상의학과 협진 시스템을 기반으로,
간암, 간염 증상의 원인을 정확하고 신속하게 진단합니다.
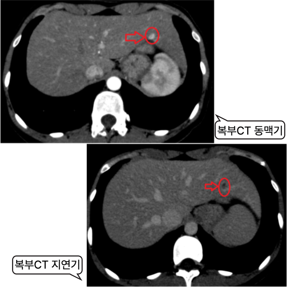
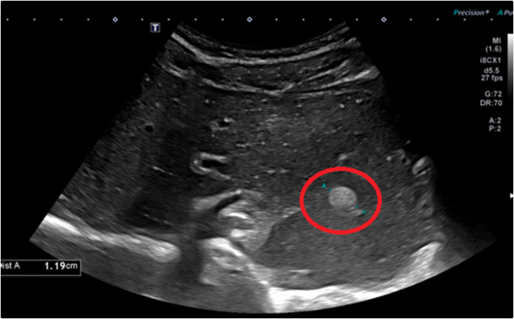
간암, 간염에 관련 사례를 확인하실 수 있습니다.
보다 많은 증상/사례는 ‘진단 사례’에서 확인하세요.
📍 주 소 :
성남시 분당구 분당내곡로 131 판교테크원타워 지하1층
🅿️ 주 차 :
판교 테크원 빌딩 내 2시간 무료 주차
지하 2층~7층까지 주차시설
🚇 지하철 :
판교역 1번 출구에서 지하로 연결
🕘평일 : 오전 9:00 - 오후 6:00
🕘토요일 : 오전 9:00 - 오후 1:00
🕘점심 : 오후 1:00 ~ 오후 2:00
🕘평일 : 오전 7:30 - 오후 1:00
🕘토요일 : 오전 7:30 - 오후 1:00
🕘점심 : 오후 1:00 ~ 오후 2:00
접수는 운영시간 30분 전에 마감됩니다.
지앤이알파돔메디컬센터의원 | 대표 : 박세진 | 373-96-01477
Copyright G&E Medical All Right Reserved.