심장 기능 혈액검사
심근 손상과 심부전 평가를 위한 혈액검사로, 급성관상동맥증후군 감별과 예후 평가에 유용합니다.
가슴이 답답하고 조이는 느낌, 원인과 검사 방법
가슴이 답답하고 조이는 느낌, 그냥 넘기지 마세요
일상 속에서 누구나 한 번쯤 경험하는 가슴이 답답하고, 조이는 느낌은 심장에서 보내는 위급 신호라면 얘기가 달라집니다. 협심증이나 심근경색, 심장판막질환 등은 초기에는 단순한 불편감으로 시작되지만, 방치하면 생명을 위협하는 중증 심장질환으로 진행될 수 있습니다.

답답하고, 조이는 느낌의 원인은 다양합니다.
하지만 그 중에서도 심장 문제가 원인이라면 절대 간과해서는 안 됩니다.

✔ 운동하거나 계단을 오를 때 가슴이 뻐근하고 조인다
✔ 휴식을 취하면 괜찮아지지만, 다시 움직이면 또 불편하다
✔ 통증이 왼쪽 어깨, 팔, 턱, 등으로 퍼진다
✔ 식은땀이나 호흡곤란, 어지럼증이 동반된다
✔ 깊게 숨을 들이쉴 때, 또는 누울 때 통증이 심해진다
✔ 예고 없이 가슴이 찢어질 듯한 통증이 찾아온 적이 있다
위 항목 중 하나라도 해당된다면, 단순한 근육통이나 스트레스로 넘기지 마세요.
특히 중년 이상에서 고혈압, 당뇨, 고지혈증 등이 있다면 더욱 주의해야 합니다.


협심증
심근경색(심장마비)
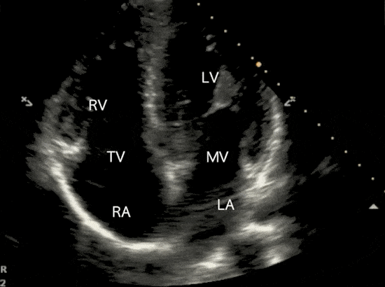
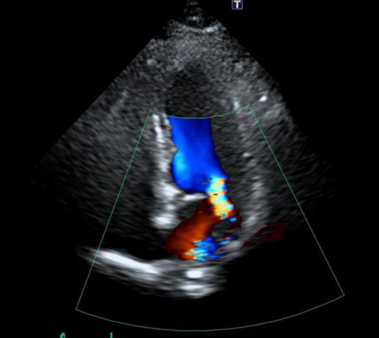
심장판막질환
심낭염

저희 병원은 내과, 영상의학과 협진 시스템을 기반으로,
속쓰림 증상의 원인을 정확하고 신속하게 진단합니다.
📍 주 소 :
성남시 분당구 분당내곡로 131 판교테크원타워 지하1층
🅿️ 주 차 :
판교 테크원 빌딩 내 2시간 무료 주차
지하 2층~7층까지 주차시설
🚇 지하철 :
판교역 1번 출구에서 지하로 연결
🕘평일 : 오전 9:00 - 오후 6:00
🕘토요일 : 오전 9:00 - 오후 1:00
🕘점심 : 오후 1:00 ~ 오후 2:00
🕘평일 : 오전 7:30 - 오후 1:00
🕘토요일 : 오전 7:30 - 오후 1:00
🕘점심 : 오후 1:00 ~ 오후 2:00
접수는 운영시간 30분 전에 마감됩니다.
지앤이알파돔메디컬센터의원 | 대표 : 박세진 | 373-96-01477
Copyright G&E Medical All Right Reserved.