고혈압 관리가 필요한 이유 #약물치료
심장,뇌,신장까지 망가뜨릴 수 있는 고혈압, 관리가 필요합니다.
고혈압은 대부분 증상이 없어 방치되기 쉽지만, 조용히 우리 몸 곳곳을 손상시킵니다. 특히 뇌졸중, 심장마비, 신부전처럼 치명적인 질환의 시작점이 될 수 있어 침묵의 살인자라 불립니다.
세계적인 의학 학술지 '란셋'에 발표된 연구에 따르면, 전 세계 204개 국가에서 발생하는 286가지 사망 원인과 87개의 위험 요소를 분석한 결과, 고혈압이 세계 사망 기여도 1위를 차지하고 있습니다. 2019년 한 해 동안 고혈압으로 인해 사망한 인원은 약 1080만 명에 달하며, 이는 전 세계 사망 원인의 19.2%에 해당합니다.
이러한 통계와 합병증을 고려할 때, 고혈압이 왜 '소리 없는 악마'라고 불리는지 이해할 수 있습니다. 고혈압은 서서히 몸을 망가트리며, 우리가 인지하지 못하는 사이에 심각한 질환을 유발할 수 있습니다. 이러한 이유로 고혈압은 결코 가볍게 여겨서는 안 되는 무서운 질환입니다.

대한고혈압학회 기준에 따르면, 다음 중 하나에 해당하면 고혈압으로 진단합니다.
진단 시에는 최소 2회 이상의 진료실 측정이 필요하며,
가정에서 측정한 경우에는 135/85mmHg 이상을 고혈압으로 봅니다.
대한고혈압학회는 아직 미국 기준(130/80)을 채택하지 않고 140/90 기준을 유지하고 있으며, 해당 수치를 넘는 경우에는 적극적인 생활습관 개선과 약물치료가 필요합니다.


오랫동안 고혈압을 가지고 계셨지만 관리하지 않으셔서 심부전(심장기능저하)가 나타난 환자분 심장초음파 결과

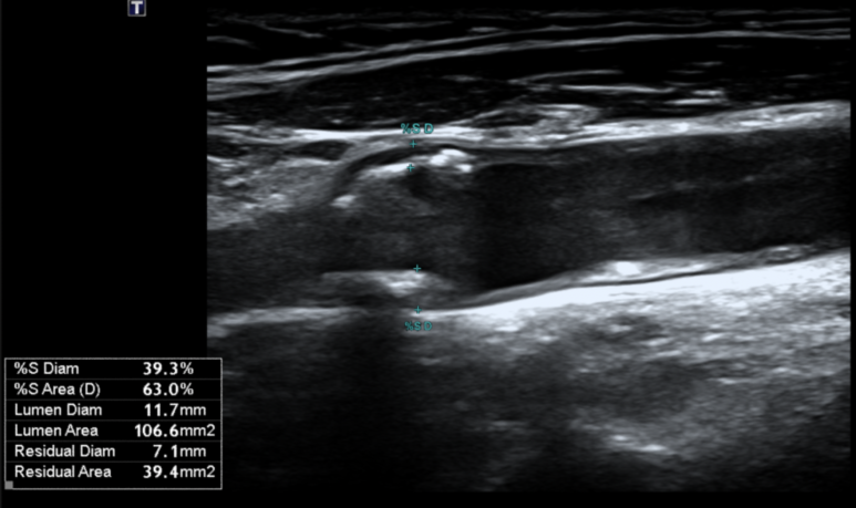
고혈압 환자분의 경동맥 초음파 결과
고혈압 환자 10명 중 3~4명은 합병증이 생기고 나서야 진단받는다고 알려져 있습니다.
그만큼 조기 발견과 치료가 가장 중요합니다.

※복용 중단은 절대 금물! 혈압이 내려갔다면 약 효과일 뿐, 완치가 아닙니다.
※생활습관만으로도 수축기 혈압을 5~10mmHg 이상 낮출 수 있다는 연구 결과가 있습니다.
고혈압에 관련 사례를 확인하실 수 있습니다.
보다 많은 증상/사례는 ‘진단 사례’에서 확인하세요.
📍 주 소 :
성남시 분당구 분당내곡로 131 판교테크원타워 지하1층
🅿️ 주 차 :
판교 테크원 빌딩 내 2시간 무료 주차
지하 2층~7층까지 주차시설
🚇 지하철 :
판교역 1번 출구에서 지하로 연결
🕘평일 : 오전 9:00 - 오후 6:00
🕘토요일 : 오전 9:00 - 오후 1:00
🕘점심 : 오후 1:00 ~ 오후 2:00
🕘평일 : 오전 7:30 - 오후 1:00
🕘토요일 : 오전 7:30 - 오후 1:00
🕘점심 : 오후 1:00 ~ 오후 2:00
접수는 운영시간 30분 전에 마감됩니다.
지앤이알파돔메디컬센터의원 | 대표 : 박세진 | 373-96-01477
Copyright G&E Medical All Right Reserved.