한 줄 요약

호흡기 증상처럼 보여도 심장 원인이 숨어 있을 수 있습니다. 본 사례는 X-ray에서 심장비대가 드러났고, 심장초음파 결과 심부전으로 확인되어 정밀 검사 및 치료를 위해 상급병원으로 전원했습니다.

이런 증상이 있었어요

담당의 코멘트

이전 검진 X-ray와 비교했을 때 심장크기 변화가 뚜렷했습니다. 구조적 질환을 놓치지 않도록 심장초음파 검사를 진행했습니다.

병원에서는 이렇게 진행했어요

  1. 흉부 X-ray
  2. 심장초음파

검사 결과, 쉽게 풀어보기

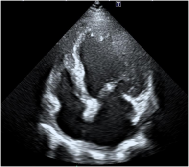
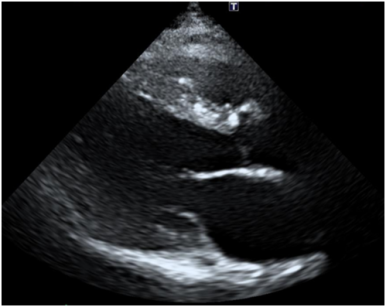
심장초음파에서 심장기능 저하 상태인 심부전 으로 심장비대가 확인되어, 정밀 검사및 심부전 치료를 위해 상급병원으로 전원.

한마디: '천식' 치료만으로 충분하지 않을 수도 있습니다. 때로는 심장 평가가 필요한 신호일 수 있습니다.

검사 결과 이미지

  • X-ray 비교: 심장 크기 증가 X-ray 비교: 심장 크기 증가
  • 심장초음파: 기능 저하 심장초음파: 기능 저하
  • 심장초음파: 기능 저하 심장초음파: 기능 저하

후속조치

상기 소견에 대해 정밀 검사 및 심부전 치료가 필요한 상태로 상급병원으로 전원


오시는 길

📍 주 소 :

성남시 분당구 분당내곡로 131 판교테크원타워 지하1층

🅿️ 주  차 :

판교 테크원 빌딩 내 2시간 무료 주차

지하 2층~7층까지 주차시설

🚇 지하철 :

판교역 1번 출구에서 지하로 연결


외래 진료 시간

🕘평일 : 오전 9:00 - 오후 6:00

🕘토요일 : 오전 9:00 - 오후 1:00

🕘점심 : 오후 1:00 ~ 오후 2:00

건강검진 운영

🕘평일 : 오전 7:30 - 오후 1:00

🕘토요일 : 오전 7:30 - 오후 1:00

🕘점심 : 오후 1:00 ~ 오후 2:00

접수는 운영시간 30분 전에 마감됩니다.


지앤이알파돔메디컬센터의원 | 대표 : 박세진 | 373-96-01477

Copyright G&E Medical All Right Reserved.