한 줄 요약

X‑ray 심비대는 단순한 체형 차이일 수도 있지만 우심계 부담을 시사하는 신호일 수 있습니다. 본 증례는 초음파에서 우심방 및 우심실 비대와 좌심방과 우심방 사이의 벽의 결손이 관찰되어 심방중격결손으로 확진했습니다.

이런 증상이 있었어요

담당의 코멘트

무증상이라도 심장 구조적 결손은 진행성 합병증(우심부전·폐고혈압 등)을 유발할 수 있어 조기 치료가 필요합니다.

병원에서는 이렇게 진행했어요

  1. 흉부 X‑ray
  2. 심장초음파(도플러)

검사 결과, 쉽게 풀어보기

X‑ray로 심비대 의심 후 심장초음파에서 우심방·우심실 비대 및 좌심방과 우심방 사이의 벽의 결손 확인 → 심방중격결손 진단 후 치료를 위해 상급병원 의뢰.

한마디: 일반 검진에서 보인 ‘심비대’는 꼭 심장초음파로 확인합시다.

검사 결과 이미지

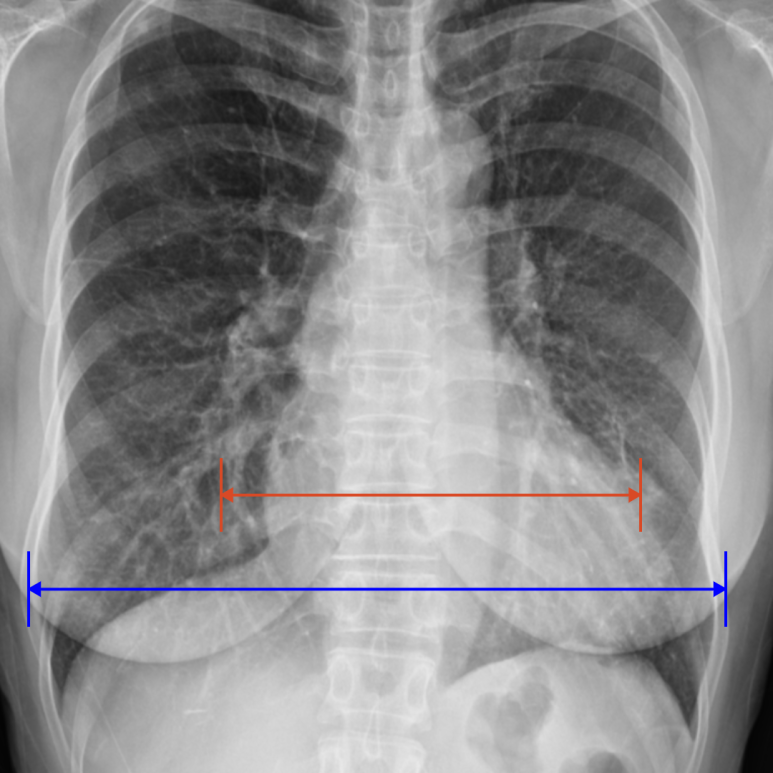
  • X‑ray: 심비대 의심 X‑ray: 심비대 의심
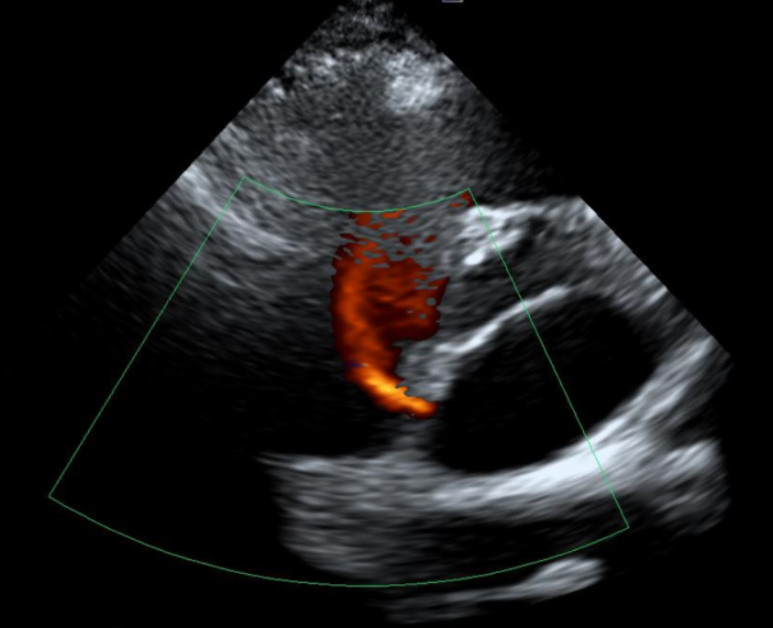
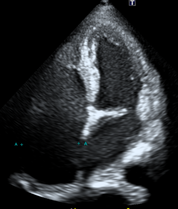
  • Echo: 우심계 비대 Echo: 우심계 비대
  • 우심방과 좌심방 사이의 벽의 결손을 통해 혈류가 새는 현상 우심방과 좌심방 사이의 벽의 결손을 통해 혈류가 새는 현상
  • 우심방과 좌심방 사이의 벽의 결손을 통해 혈류가 새는 현상 우심방과 좌심방 사이의 벽의 결손을 통해 혈류가 새는 현상

후속조치

심방중격결손으로 진단 후 치료를 위해 상급병원 의뢰


오시는 길

📍 주 소 :

성남시 분당구 분당내곡로 131 판교테크원타워 지하1층

🅿️ 주  차 :

판교 테크원 빌딩 내 2시간 무료 주차

지하 2층~7층까지 주차시설

🚇 지하철 :

판교역 1번 출구에서 지하로 연결


외래 진료 시간

🕘평일 : 오전 9:00 - 오후 6:00

🕘토요일 : 오전 9:00 - 오후 1:00

🕘점심 : 오후 1:00 ~ 오후 2:00

건강검진 운영

🕘평일 : 오전 7:30 - 오후 1:00

🕘토요일 : 오전 7:30 - 오후 1:00

🕘점심 : 오후 1:00 ~ 오후 2:00

접수는 운영시간 30분 전에 마감됩니다.


지앤이알파돔메디컬센터의원 | 대표 : 박세진 | 373-96-01477

Copyright G&E Medical All Right Reserved.