한 줄 요약

호흡곤란의 원인이 폐가 아니라 판막질환일 수 있습니다. 본 증례는 X‑ray 상 정상이었지만 도플러 초음파에서 승모판막 역류가 확인되었고, 혈액검사에서도 심부전 표지 상승으로 치료를 시작했습니다.

이런 증상이 있었어요

담당의 코멘트

운동 시 증상 악화가 두드러져 판막기능 이상을 우선 의심했으며, 약물치료 후 추적 관찰을 계획했습니다.

병원에서는 이렇게 진행했어요

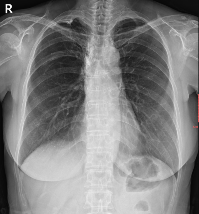
  1. 흉부 X‑ray
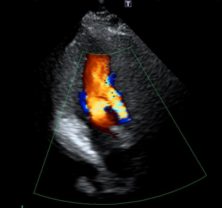
  2. 심장초음파
  3. 심부전 표지 혈액검사

검사 결과, 쉽게 풀어보기

X‑ray 폐 이상 없음. 심장초음파에서 승모판막 두 부위의 역류 확인으로 폐쇄부전증을 확인하였고, 혈액검사에서 심부전 수치 상승한 것을 고려하여 심장판막 질환으로 인한 호흡곤란 증상으로 사료되어 약물치료 개시 및 추적.

한마디: 숨이 차고 가슴이 답답한데 X‑ray가 정상이라면, 심장초음파로 판막 기능을 확인하세요.

검사 결과 이미지

  • X‑ray: 폐 이상 없음 X‑ray: 폐 이상 없음
  • 심장초음파 검사 결과: 심장판막 2부위에서 승모판막 역류로 인한 폐쇄부전증 확인 심장초음파 검사 결과: 심장판막 2부위에서 승모판막 역류로 인한 폐쇄부전증 확인
  • 심장초음파 검사 결과: 심장판막 2부위에서 승모판막 역류로 인한 폐쇄부전증 확인 심장초음파 검사 결과: 심장판막 2부위에서 승모판막 역류로 인한 폐쇄부전증 확인

후속조치

약물 치료 후 추적 관찰 요함


오시는 길

📍 주 소 :

성남시 분당구 분당내곡로 131 판교테크원타워 지하1층

🅿️ 주  차 :

판교 테크원 빌딩 내 2시간 무료 주차

지하 2층~7층까지 주차시설

🚇 지하철 :

판교역 1번 출구에서 지하로 연결


외래 진료 시간

🕘평일 : 오전 9:00 - 오후 6:00

🕘토요일 : 오전 9:00 - 오후 1:00

🕘점심 : 오후 1:00 ~ 오후 2:00

건강검진 운영

🕘평일 : 오전 7:30 - 오후 1:00

🕘토요일 : 오전 7:30 - 오후 1:00

🕘점심 : 오후 1:00 ~ 오후 2:00

접수는 운영시간 30분 전에 마감됩니다.


지앤이알파돔메디컬센터의원 | 대표 : 박세진 | 373-96-01477

Copyright G&E Medical All Right Reserved.