한 줄 요약

고혈압 위기 상황에서 장기간 기침이 지속되면 폐 질환 외에 심장성 원인을 반드시 살펴보아야 합니다. X‑ray와 심전도 검사 후 심비대 및 심혈관 질환 의심소견으로 심장초음파에서 좌심실 기능 저하가 확인되어 심부전으로 판단했습니다.

이런 증상이 있었어요

담당의 코멘트

고혈압이 오래 방치되면 좌심실벽 비후·확장과 심장 기능 저하로 이어질 수 있어 즉시 심장 평가가 필요했습니다.

병원에서는 이렇게 진행했어요

  1. 흉부 X-ray
  2. 심전도
  3. 심장초음파

검사 결과, 쉽게 풀어보기

X‑ray에서는 폐 이상 없이 심장 크기 경계성 증가. 심전도에서 심비대 맟 심질환 의심 소견으로 심장초음파 추가 검사 결과 좌심실 기능 저하가 뚜렷하여 심부전에 합당, 고혈압 및 심부전 정도를 고려할 때 상급병원 입원 치료 연계.

한마디: 혈압이 높은 상태에서 기침이 지속되고 쉬어도 호전 없다면, 폐만 보지 말고 심장을 꼭 확인하세요.

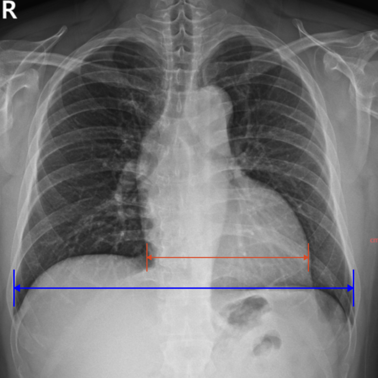
검사 결과 이미지

  • X‑ray: 경계성 심장비대 X‑ray: 경계성 심장비대
  • ECG: 심비대 및 심혈관 질환 의심 소견 ECG: 심비대 및 심혈관 질환 의심 소견
  • 심장초음파 결과: 심장기능 저하 심장초음파 결과: 심장기능 저하
  • 심장초음파 결과 심장초음파 결과

후속조치

상급병원에서의 입원 치료 필요하여 연계


오시는 길

📍 주 소 :

성남시 분당구 분당내곡로 131 판교테크원타워 지하1층

🅿️ 주  차 :

판교 테크원 빌딩 내 2시간 무료 주차

지하 2층~7층까지 주차시설

🚇 지하철 :

판교역 1번 출구에서 지하로 연결


외래 진료 시간

🕘평일 : 오전 9:00 - 오후 6:00

🕘토요일 : 오전 9:00 - 오후 1:00

🕘점심 : 오후 1:00 ~ 오후 2:00

건강검진 운영

🕘평일 : 오전 7:30 - 오후 1:00

🕘토요일 : 오전 7:30 - 오후 1:00

🕘점심 : 오후 1:00 ~ 오후 2:00

접수는 운영시간 30분 전에 마감됩니다.


지앤이알파돔메디컬센터의원 | 대표 : 박세진 | 373-96-01477

Copyright G&E Medical All Right Reserved.