한 줄 요약

무증상이라도 경동맥 초음파로 경동맥협착을 조기 발견하면 관상동맥 질환 및 뇌혈관 질환 의 위험을 예측하고, 죽상동맥경화증의 진행 정도를 파악하여 적절한 예방 및 치료계획을 세우는 데 큰 도움이 됩니다.

이런 증상이 있었어요

담당의 코멘트

죽상경화성 심혈관질환의 위험 인자가 다수인 경우, 주기적 초음파 추적이 뇌·심장 사건을 줄이는 데 도움이 됩니다.

병원에서는 이렇게 진행했어요

  1. X-ray
  2. 경동맥 초음파(B‑mode·도플러)

검사 결과, 쉽게 풀어보기

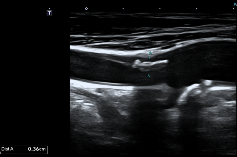
우측 경동맥에 하얗게 보이는 석회화가 많이 껴있는 것을 확인할 수 있고, 이로 인해 직격이 40% 정도 좁아져 경동맥 협착으로 판단하여, 추적관찰 권고함.

한마디: 고혈압, 당뇨, 고지혈증 등 만성 질환을 앓고 있는 경우 뇌졸중 위험을 미리 파악하고 예방하기 위해 정기적으로 경동맥 초음파 검사를 받는 것이 중요합니다.

검사 결과 이미지

  • 경동맥 초음파 결과: 경동맥 협착 경동맥 초음파 결과: 경동맥 협착
  • 경동맥 초음파 결과: 경동맥 협착 경동맥 초음파 결과: 경동맥 협착

후속조치

지속적인 추적관찰이 필요함


오시는 길

📍 주 소 :

성남시 분당구 분당내곡로 131 판교테크원타워 지하1층

🅿️ 주  차 :

판교 테크원 빌딩 내 2시간 무료 주차

지하 2층~7층까지 주차시설

🚇 지하철 :

판교역 1번 출구에서 지하로 연결


외래 진료 시간

🕘평일 : 오전 9:00 - 오후 6:00

🕘토요일 : 오전 9:00 - 오후 1:00

🕘점심 : 오후 1:00 ~ 오후 2:00

건강검진 운영

🕘평일 : 오전 7:30 - 오후 1:00

🕘토요일 : 오전 7:30 - 오후 1:00

🕘점심 : 오후 1:00 ~ 오후 2:00

접수는 운영시간 30분 전에 마감됩니다.


지앤이알파돔메디컬센터의원 | 대표 : 박세진 | 373-96-01477

Copyright G&E Medical All Right Reserved.