뇌CT
급성 뇌출혈·외상·응급 신경학적 이상 평가에 빠르고 유용한 단층 X선 검사입니다.
두통 지속, 뇌CT 뇌MRI 중 어떤 검사를 받아야 할까?
두통이 자주 생기고, 약을 먹어도 잘 낫지 않아요.
혹시 뇌에 문제가 생긴 건 아닐까요?
지속적인 두통은 일상생활에 큰 불편을 줄 뿐만 아니라, 혹시 모를 뇌질환에 대한 불안까지 동반하게 만듭니다.
이럴 때 많은 분들이 검사를 받아야 할까? 고민하십니다.
그런데 정작 어떤 검사를 받아야 하는지는 잘 모르는 경우가 많으며, 일부 잘못된 추천으로 불필요한 검사를 받는 경우도 많습니다.
저희 병원에는 CT검사와 MRI 검사 모두 가능합니다.
하지만, 뇌검사를 할 때, 뇌CT 검사가 이뤄지는 경우는 극히 드뭅니다.
그 이유는 뇌CT는 빠르게 뇌의 구조적 이상을 확인할 수 있는 검사로, 응급 상황에서 특히 유용합니다.


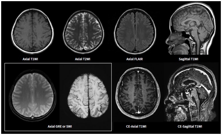
MRI 검사의 다양한 시퀀스
MRI는 뇌를 더 정밀하고 입체적으로 관찰할 수 있는 검사입니다.
단순히 영상을 한 장 찍는 것이 아니라, 여러 종류의 시퀀스(Sequence)를 통해 다양한 방식으로 뇌를 분석합니다.
MRI의 시퀀스는 같은 부위를 서로 다른 조건으로 여러 장 촬영하는 방식입니다.
쉽게 말하면, 같은 장면을 낮, 밤, 적외선 카메라로 각각 보는 것처럼 다양한 정보와 상태를 동시에 파악할 수 있습니다.




뇌CT 검사에서 발견되지 않는 뇌백질 변성

미세하게 발견된 뇌백질 변성(뇌노화의 척도)
MRI는 뇌종양, 뇌염, 뇌혈관 질환, 미세출혈 등
CT로는 보기 어려운 병변까지 파악할 수 있어,
근본적인 두통의 원인을 찾는 데 매우 중요한 검사입니다.
MRI라고 100% 모든 원인을 찾을 수 없지만,
CT 대비 많은 정보를 주는 것은 확실합니다.
단적으로 뇌노화(치매)의 척도인 뇌백질은 뇌CT에서 확인할 수 없습니다.
저희 병원은 내과, 영상의학과 협진 시스템을 기반으로,
두통 증상의 원인을 정확하고 신속하게 진단합니다.
두통에 관련 사례를 확인하실 수 있습니다.
보다 많은 증상/사례는 ‘진단 사례’에서 확인하세요.
📍 주 소 :
성남시 분당구 분당내곡로 131 판교테크원타워 지하1층
🅿️ 주 차 :
판교 테크원 빌딩 내 2시간 무료 주차
지하 2층~7층까지 주차시설
🚇 지하철 :
판교역 1번 출구에서 지하로 연결
🕘평일 : 오전 9:00 - 오후 6:00
🕘토요일 : 오전 9:00 - 오후 1:00
🕘점심 : 오후 1:00 ~ 오후 2:00
🕘평일 : 오전 7:30 - 오후 1:00
🕘토요일 : 오전 7:30 - 오후 1:00
🕘점심 : 오후 1:00 ~ 오후 2:00
접수는 운영시간 30분 전에 마감됩니다.
지앤이알파돔메디컬센터의원 | 대표 : 박세진 | 373-96-01477
Copyright G&E Medical All Right Reserved.