한 줄 요약

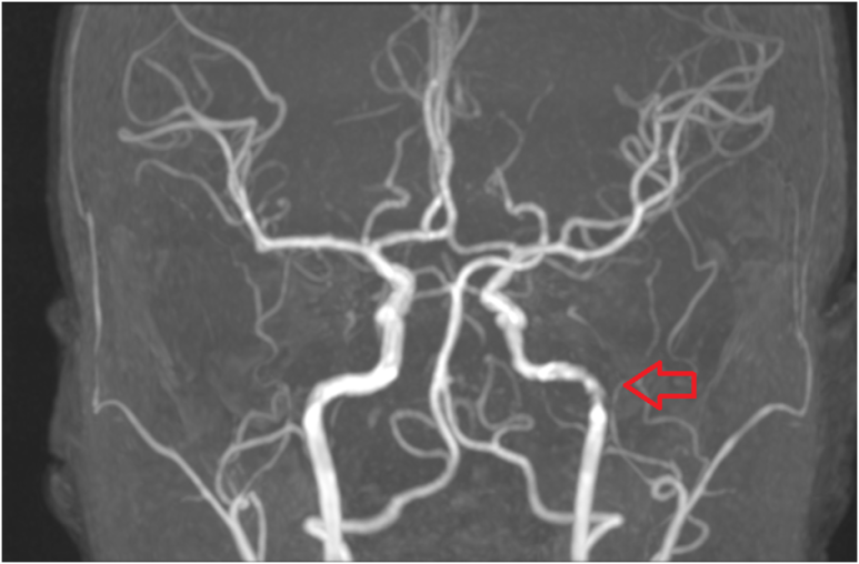
뇌 MRA에서 좌측 뇌혈관 협착이 확인되어 증상과 일치했습니다. 환자분은 추가적인 치료 및 수술적 조치가 필요한 상황으로 상급병원에 전원하였습니다.

이런 증상이 있었어요

담당의 코멘트

장기 증상 + 가족력은 뇌혈관 평가가 필수입니다.

병원에서는 이렇게 진행했어요

  1. 뇌 MRA

검사 결과, 쉽게 풀어보기

MRA: 좌측 혈관 협착 확인 → 상급병원 전원(치료/수술 평가).

한마디: 두통이 오래가고 가족력이 있다면, 정밀 뇌혈관 검사가 필요합니다.

검사 결과 이미지

  • MRA: 좌측 협착 MRA: 좌측 협착

후속조치

추가적인 조치가 필요한 상황으로 상급병원에 전원


오시는 길

📍 주 소 :

성남시 분당구 분당내곡로 131 판교테크원타워 지하1층

🅿️ 주  차 :

판교 테크원 빌딩 내 2시간 무료 주차

지하 2층~7층까지 주차시설

🚇 지하철 :

판교역 1번 출구에서 지하로 연결


외래 진료 시간

🕘평일 : 오전 9:00 - 오후 6:00

🕘토요일 : 오전 9:00 - 오후 1:00

🕘점심 : 오후 1:00 ~ 오후 2:00

건강검진 운영

🕘평일 : 오전 7:30 - 오후 1:00

🕘토요일 : 오전 7:30 - 오후 1:00

🕘점심 : 오후 1:00 ~ 오후 2:00

접수는 운영시간 30분 전에 마감됩니다.


지앤이알파돔메디컬센터의원 | 대표 : 박세진 | 373-96-01477

Copyright G&E Medical All Right Reserved.