한 줄 요약

발열·몸살감 없이도 간농양은 우상복부 통증과 간수치·염증수치 상승으로 나타날 수 있습니다. 복부 CT에서 간 6분절에 농양이 확인되어 입원 항생제 치료가 필요해 상급병원으로 전원했습니다.

이런 증상이 있었어요

담당의 코멘트

과거 췌장수술력이 있어 간·췌장 합병증을 동시에 고려했고, 영상으로 병변을 신속히 특정했습니다.

병원에서는 이렇게 진행했어요

  1. 혈액검사(간기능·염증)
  2. 복부 CT

검사 결과, 쉽게 풀어보기

혈액검사 결과 간 기능·염증수치 상승 → CT에서 췌장쪽에서는 병변이 발견되지 않았고, 간 S6 농양 확인. 입원하여 항생제 치료가 필요하므로 원래 수술했던 병원으로 전원.

한마디: 상복부 통증과 간수치 상승이 함께 보이면, 간 내 감염을 조기에 영상으로 확인해야 합니다.

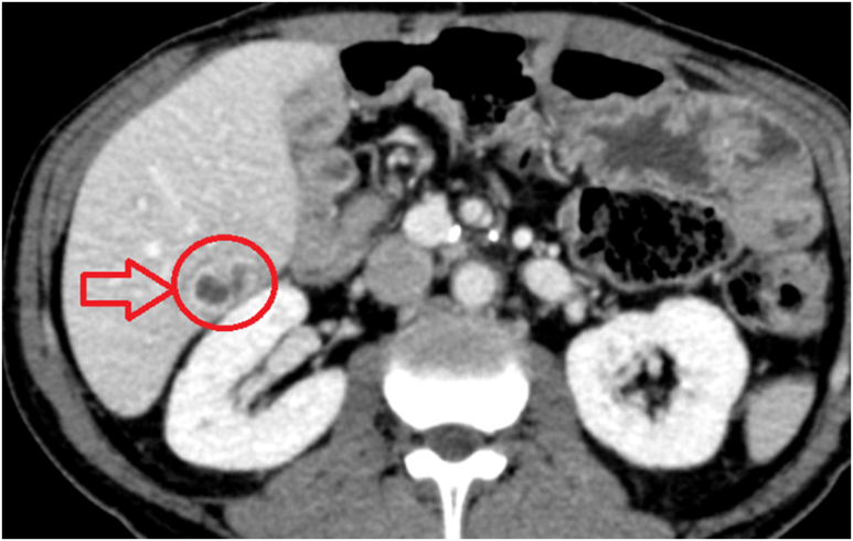
검사 결과 이미지

  • CT: 간 S6 농양 CT: 간 S6 농양
  • CT: 간 S6 농양 CT: 간 S6 농양

후속조치

간농양은 입원하여 항생제 치료가 필요하므로 원래 수술이력이 남은 병원으로 전원


오시는 길

📍 주 소 :

성남시 분당구 분당내곡로 131 판교테크원타워 지하1층

🅿️ 주  차 :

판교 테크원 빌딩 내 2시간 무료 주차

지하 2층~7층까지 주차시설

🚇 지하철 :

판교역 1번 출구에서 지하로 연결


외래 진료 시간

🕘평일 : 오전 9:00 - 오후 6:00

🕘토요일 : 오전 9:00 - 오후 1:00

🕘점심 : 오후 1:00 ~ 오후 2:00

건강검진 운영

🕘평일 : 오전 7:30 - 오후 1:00

🕘토요일 : 오전 7:30 - 오후 1:00

🕘점심 : 오후 1:00 ~ 오후 2:00

접수는 운영시간 30분 전에 마감됩니다.


지앤이알파돔메디컬센터의원 | 대표 : 박세진 | 373-96-01477

Copyright G&E Medical All Right Reserved.