한 줄 요약

검진 초음파의 작은 결절이라도 CT에서 동맥기 밝음·지연기 소실이면 간선종/간암 가능성을 고려해야 합니다. 본 증례는 선별 단계에서 위험 신호를 포착해 신속 전원을 시행했습니다.

이런 증상이 있었어요

담당의 코멘트

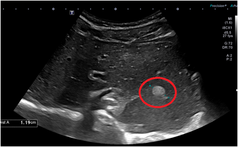
복부초음파 결과 왼쪽 간엽에 결절이 발견되었고, 정확한 진단을 위해 복부CT를 진행하였습니다.

병원에서는 이렇게 진행했어요

  1. 복부초음파
  2. 복부 CT(동맥·지연기)

검사 결과, 쉽게 풀어보기

왼쪽 간엽 1.2cm 결절 — CT 동맥기 증강·지연기 소실 → 간선종 vs 간암 의심, 상급병원 정밀검사 전원.

한마디: 무증상 결절이라도 영상 패턴이 ‘경고 신호’라면 즉시 평가가 필요합니다.

검사 결과 이미지

  • 복부초음파: 1.2cm 고에코 결절 복부초음파: 1.2cm 고에코 결절
  • CT: 동맥기, 지연기 비교로 간선종 혹은 간암 가능성 발견 CT: 동맥기, 지연기 비교로 간선종 혹은 간암 가능성 발견

후속조치

상급병원 정밀검사 전원 조치


오시는 길

📍 주 소 :

성남시 분당구 분당내곡로 131 판교테크원타워 지하1층

🅿️ 주  차 :

판교 테크원 빌딩 내 2시간 무료 주차

지하 2층~7층까지 주차시설

🚇 지하철 :

판교역 1번 출구에서 지하로 연결


외래 진료 시간

🕘평일 : 오전 9:00 - 오후 6:00

🕘토요일 : 오전 9:00 - 오후 1:00

🕘점심 : 오후 1:00 ~ 오후 2:00

건강검진 운영

🕘평일 : 오전 7:30 - 오후 1:00

🕘토요일 : 오전 7:30 - 오후 1:00

🕘점심 : 오후 1:00 ~ 오후 2:00

접수는 운영시간 30분 전에 마감됩니다.


지앤이알파돔메디컬센터의원 | 대표 : 박세진 | 373-96-01477

Copyright G&E Medical All Right Reserved.