복부초음파
초음파로 간·담낭·담도·췌장·비장·신장·대동맥 등 복부 장기를 평가하는 비침습 검사입니다.
오른쪽 윗배 통증 원인과 검사 방법 #우상복부통증
오른쪽 윗배가 아프신가요?
그냥 넘겼다간 큰 병으로 이어질 수 있습니다.
우상복부, 즉 오른쪽 갈비뼈 아래 배 부분의 통증은 흔한 증상이지만 그 원인은 매우 다양합니다.
간단한 소화불량부터 담낭염, 간염, 신장감염, 심지어 담관염, 간농양과 같은 응급질환까지 포함되어 있지요.
특히 통증과 함께 열이 나거나, 눈이 노랗게 변하는 황달, 혹은 오한, 구토까지 동반된다면 시간이 생명을 좌우할 수 있는 상황일 수도 있습니다.

우상복부에는 다양한 장기가 모여 있어, 통증의 원인을 정확히 파악하는 것이 매우 중요합니다.
관련 장기 주요 질환 예시

이런 증상이 반복된다면, 몸이 보내는 신호일 수 있습니다.
다음 중 해당하는 항목이 있다면 한 번쯤은 점검이 필요합니다.
✔ 기름진 음식을 먹은 뒤 오른쪽 윗배가 쥐어짜듯 아프다
✔ 복통과 함께 메스꺼움, 구토, 식욕부진이 나타난다
✔ 고열(38도 이상) 또는 떨림(오한)이 동반된다
✔ 피부나 눈이 노랗게 변했다 (황달)
✔ 오른쪽 옆구리나 등쪽까지 통증이 퍼진다
✔ 숨 쉴 때 오른쪽 갈비뼈 아래가 찌르듯 아프다
위 항목 중 2가지 이상 해당된다면,
꼭 전문의 상담을 받으셔야 합니다.



1. 담석증 & 담낭염
기름진 음식 후 우상복부 통증, 등이나 어깨로 방사, 구역구토가 흔하며, 염증이 생기면 고열심한 통증복부 압통이 동반됩니다.
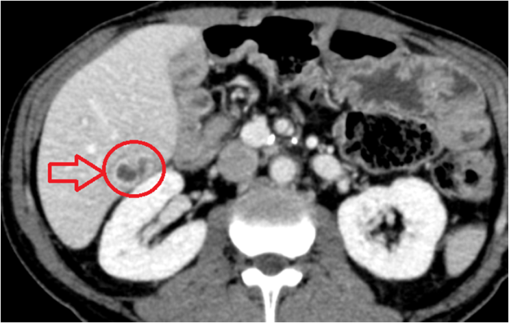
2. 간염 & 간농양 &간암
피로감, 미열, 우상복부의 뻐근한 불편감, 그리고 황달이 특징입니다. 간농양은 고열과 심한 통증이 동반되고 응급 처치가 필요한 경우도 있습니다.
3. 담관염
발열 + 황달 + 복통이 함께 나타나는 경우, 생명을 위협하는 담관염일 수 있습니다. 패혈증으로 진행 가능하므로 즉시 병원 내원이 필요합니다.
4. 신우신염 & 요로결석
옆구리에서 시작된 통증이 복부로 퍼지며, 고열, 소변 시 통증, 혈뇨 등이 동반됩니다.
5. 폐렴 & 늑막염
가슴이 아닌 복부에서 시작되는 통증도 많습니다. 기침, 숨참, 열이 함께 있다면 우측 폐렴이나 흉막염을 의심해봐야 합니다.


이런 증상이 보이면 가까운 병원으로 빨리 방문이 필요합니다.
✔ 복통과 함께 39도 이상의 고열과 황달이 있는 경우
✔ 피부가 노랗고, 소변이 콜라색처럼 진해진 경우
✔ 복부를 눌렀다 뗄 때 극심한 통증이 느껴질 때 (복막염 가능성)
✔ 식은땀, 어지럼증, 의식 저하, 혈압 저하 (쇼크 징후)



저희 병원은 내과, 영상의학과 협진 시스템을 기반으로,
상복부통증, 우상복부통증 증상의 원인을 정확하고 신속하게 진단합니다.
상복부통증, 우상복부통증에 통해 관련 사례를 확인하실 수 있습니다.
보다 많은 증상/사례는 ‘진단 사례’에서 확인하세요.
📍 주 소 :
성남시 분당구 분당내곡로 131 판교테크원타워 지하1층
🅿️ 주 차 :
판교 테크원 빌딩 내 2시간 무료 주차
지하 2층~7층까지 주차시설
🚇 지하철 :
판교역 1번 출구에서 지하로 연결
🕘평일 : 오전 9:00 - 오후 6:00
🕘토요일 : 오전 9:00 - 오후 1:00
🕘점심 : 오후 1:00 ~ 오후 2:00
🕘평일 : 오전 7:30 - 오후 1:00
🕘토요일 : 오전 7:30 - 오후 1:00
🕘점심 : 오후 1:00 ~ 오후 2:00
접수는 운영시간 30분 전에 마감됩니다.
지앤이알파돔메디컬센터의원 | 대표 : 박세진 | 373-96-01477
Copyright G&E Medical All Right Reserved.