한 줄 요약

급성 담낭염은 담석, 종양 혹은 담낭의 기능 이상 등으로 인해 담낭관이 부분적이거나 완전히 좁아지면서 담낭 내에 기계적, 화학적 또는 세균성 염증이 발생한 질환을 의미합니다. 급성 담낭염의 원인 중 가장 많은 비중을 차지하는 것은 담낭 내 담석으로, 72~93% 정도입니다.

이런 증상이 있었어요

담당의 코멘트

우상복부통증이 주소이며, 타병원에서 초음파 필요하다는 소견으로 본원 내원.

병원에서는 이렇게 진행했어요

  1. 혈액검사
  2. 복부초음파

검사 결과, 쉽게 풀어보기

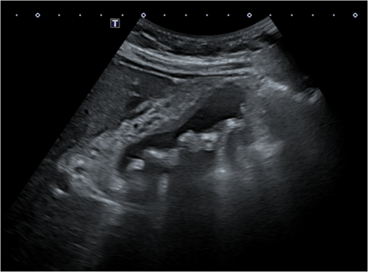
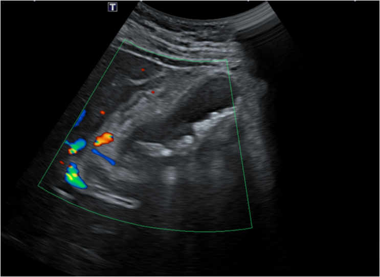
진료 후 기본 피검사, 복부초음파로 확인을 하였고, 복부 초음파상에서 담낭 주위로 지저분한 에코와 여러 개의 담낭 돌을 확인할 수 있었습니다. 이는 급성 담낭염의 전형적인 소견으로 피검사상에서도 염증수치가 많이 올라가 있었습니다. 결석성담낭염 진단, 급성 담낭염은 수술적인 치료까지 필요한 상황이라 상급병원으로 전원을 하였습니다.

한마디: 급성 담낭염은 담석, 종양 혹은 담낭의 기능 이상 등으로 인해 담낭관이 좁아지면서 담낭 내에 염증이 발생한 질환입니다. 급성 담낭염의 원인 중 가장 많은 비중을 차지하는 것은 담낭 내 담석으로, 72~93% 정도입니다.

검사 결과 이미지

  • 복부초음파: 담낭 주위 지저분한 에코와 담낭 돌 복부초음파: 담낭 주위 지저분한 에코와 담낭 돌
  • 복부초음파: 결석성담낭염 소견 (컬러도플러) 복부초음파: 결석성담낭염 소견 (컬러도플러)
  • 담낭 해부도 참고자료 (담관, 담낭용종, 담낭결석) 담낭 해부도 참고자료 (담관, 담낭용종, 담낭결석)

후속조치

결석성담낭염 진단, 수술적 치료 필요하여 상급병원으로 전원


오시는 길

📍 주 소 :

성남시 분당구 분당내곡로 131 판교테크원타워 지하1층

🅿️ 주  차 :

판교 테크원 빌딩 내 2시간 무료 주차

지하 2층~7층까지 주차시설

🚇 지하철 :

판교역 1번 출구에서 지하로 연결


외래 진료 시간

🕘평일 : 오전 9:00 - 오후 6:00

🕘토요일 : 오전 9:00 - 오후 1:00

🕘점심 : 오후 1:00 ~ 오후 2:00

건강검진 운영

🕘평일 : 오전 7:30 - 오후 1:00

🕘토요일 : 오전 7:30 - 오후 1:00

🕘점심 : 오후 1:00 ~ 오후 2:00

접수는 운영시간 30분 전에 마감됩니다.


지앤이알파돔메디컬센터의원 | 대표 : 박세진 | 373-96-01477

Copyright G&E Medical All Right Reserved.