흉부(폐CT)
저선량 또는 조영 CT로 폐실질·기도·종격동·흉벽을 신속히 평가하며, 목적에 따라 LDCT/HRCT/CTPA 등 프로토콜을 선택합니다.
발열 우려되는 질환과 검사 방법
발열, 혹시 단순 감기만은 아닐 수도 있습니다.
며칠째 열이 계속 나고, 몸이 으슬으슬 떨리는데 병원에 가야 할까?
단순 감기일 수도 있지만, 성인의 발열은 폐렴, 결핵, 자가면역질환, 심지어 암과 같은 중요한 내과 질환의 첫 신호일 수 있습니다. 특히 3일 이상 열이 계속되거나, 열이 반복적으로 나고 있다면 원인 질환을 조기에 파악하고 적절히 치료하는 것이 매우 중요합니다.

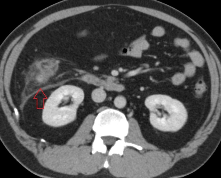
발열 복통으로 오셔서 게실염이 발견된 사례

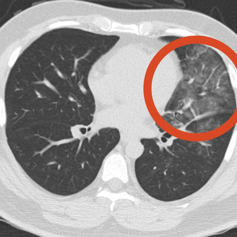
발열, 기침으로 오셔서 폐렴이 발견된 사례
발열은 체온조절 중추가 정상보다 높은 체온을 정상으로 인식하면서 발생하는 생리 반응입니다. 보통 면역계가 감염이나 이상 신호를 감지했을 때 생기며, 그 원인은 다음과 같이 구분할 수 있습니다.
비감염성 질환
다음과 같은 증상이 있다면, 단순 해열제 복용으로 넘기지 말고 전문 진료가 필요합니다.
✔ 3일 이상 고열이 지속됨
✔ 열이 자주 재발하거나 오르내림
✔ 식은땀,
✔ 이유 없는 체중 감소
✔ 기침, 가래,
✔ 호흡곤란 동반
✔ 열과 함께 관절통, 발진, 두통 등 비전형적 증상
✔ 해열제를 먹어도 반복되는 열

발열 유형에 따라 확인하세요.

저희 병원은 내과, 영상의학과 협진 시스템을 기반으로,
발열 증상의 원인을 정확하고 신속하게 진단합니다.
발열에 통해 관련 사례를 확인하실 수 있습니다.
보다 많은 증상/사례는 ‘진단 사례’에서 확인하세요.
📍 주 소 :
성남시 분당구 분당내곡로 131 판교테크원타워 지하1층
🅿️ 주 차 :
판교 테크원 빌딩 내 2시간 무료 주차
지하 2층~7층까지 주차시설
🚇 지하철 :
판교역 1번 출구에서 지하로 연결
🕘평일 : 오전 9:00 - 오후 6:00
🕘토요일 : 오전 9:00 - 오후 1:00
🕘점심 : 오후 1:00 ~ 오후 2:00
🕘평일 : 오전 7:30 - 오후 1:00
🕘토요일 : 오전 7:30 - 오후 1:00
🕘점심 : 오후 1:00 ~ 오후 2:00
접수는 운영시간 30분 전에 마감됩니다.
지앤이알파돔메디컬센터의원 | 대표 : 박세진 | 373-96-01477
Copyright G&E Medical All Right Reserved.