대장내시경
굴곡성 내시경으로 대장 전장을 직접 관찰하고 필요 시 용종절제·생검 등 치료를 함께 시행하는 검사입니다.
아랫배 통증 원인과 검사방법
아랫배 통증시 의심되는 질환은 어떤게 있을까요?
하복부 통증(아랫배 통증)은 누구나 한 번쯤 겪을 수 있는 흔한 증상입니다. 하지만 같은 위치에 통증이 있어도 그 원인은 매우 다양하고, 단순 복통부터 응급수술이 필요한 질환까지 포함될 수 있습니다.
특히 통증이 지속되거나 점점 심해진다면,
이런 걱정이 드실 수 있습니다.
이와 관련된 원인과 관련된 질환들에 관해 하나씩 알아보는 시간을 갖고자 합니다.

아랫배(하복부)는 해부학적으로 좌측과 우측으로 나뉘며, 위치에 따라 의심할 수 있는 질환도 다릅니다.




다음 중 하나라도 해당된다면 정밀 검사가 꼭 필요합니다.
✔ 아랫배가 뻐근하고 열이 난다
✔ 아랫배 통증과 함께 구토, 식욕 저하, 설사, 소변 이상이 있다
✔ 갑자기 참을 수 없는 한쪽 통증이 생겼다 (난소 염전요로결석 의심)
✔ 임신 가능성이 있는데 통증 + 출혈이 있다 (자궁외임신 의심)
✔ 통증과 함께 열, 오한, 복부 경직, 어지러움, 혈변이 있다면 응급입니다
다음과 같은 증상은 지체 없이 병원 진료가 필요합니다.



저희 병원은 내과, 영상의학과 협진 시스템을 기반으로,
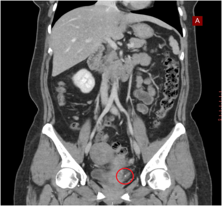
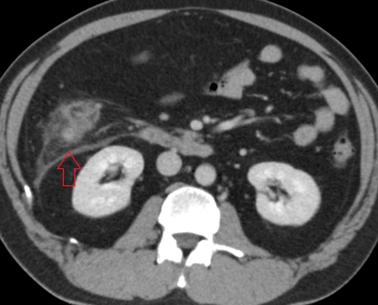
게실염, 충수염, 하복부통증 증상의 원인을 정확하고 신속하게 진단합니다.
게실염, 충수염, 하복부통증에 통해 관련 사례를 확인하실 수 있습니다.
보다 많은 증상/사례는 ‘진단 사례’에서 확인하세요.
📍 주 소 :
성남시 분당구 분당내곡로 131 판교테크원타워 지하1층
🅿️ 주 차 :
판교 테크원 빌딩 내 2시간 무료 주차
지하 2층~7층까지 주차시설
🚇 지하철 :
판교역 1번 출구에서 지하로 연결
🕘평일 : 오전 9:00 - 오후 6:00
🕘토요일 : 오전 9:00 - 오후 1:00
🕘점심 : 오후 1:00 ~ 오후 2:00
🕘평일 : 오전 7:30 - 오후 1:00
🕘토요일 : 오전 7:30 - 오후 1:00
🕘점심 : 오후 1:00 ~ 오후 2:00
접수는 운영시간 30분 전에 마감됩니다.
지앤이알파돔메디컬센터의원 | 대표 : 박세진 | 373-96-01477
Copyright G&E Medical All Right Reserved.