한 줄 요약

고열·오한, CRP 현저 상승, 요검사 이상이 동반되면 신우신염 가능성이 높습니다. CT에서 신장 실질의 저음영이 보이면 신장 내 염증이 있어 일시적인 신장기능 저하를 시사하며, 방치하면 염증이 혈액을 타고 전신감염을 일으킬 위험이 있어 즉시 항생제 치료가 필요합니다.

이런 증상이 있었어요

담당의 코멘트

‘감기 같은 증상’ 이면의 신장 감염을 빠르게 감별해 전신감염으로 진행을 막았습니다.

병원에서는 이렇게 진행했어요

  1. 혈액검사(CRP)
  2. 요검사
  3. 복부 CT

검사 결과, 쉽게 풀어보기

CRP 18↑, 요검사 염증 소견. CT에서 신실질 저음영 확인 → 급성 신우신염. 상급병원으로 신속히 전원.

한마디: 열이 3일 이상 지속되고 옆구리·아랫배 통증이 있으면 신장 감염을 의심해야 합니다.

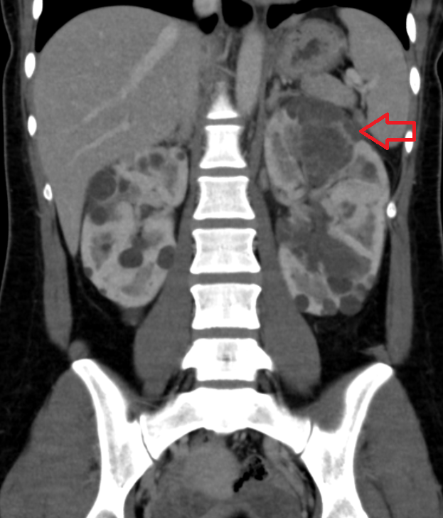
검사 결과 이미지

  • 혈액검사: CRP 18↑, 복부CT검사: 급성신우신염 혈액검사: CRP 18↑, 복부CT검사: 급성신우신염
  • 신장의 실질은 조영제가 들어가게 되면 하얗게 잘 표시가 되어야 하는데 까맣게 표시간 되지 않는 부분이 보임(신장 내 염증) 신장의 실질은 조영제가 들어가게 되면 하얗게 잘 표시가 되어야 하는데 까맣게 표시간 되지 않는 부분이 보임(신장 내 염증)

후속조치

급성 신우신염을 그대로 방치하면 전신감염을 일으킬 위험이 있으므로 신속히 상급병원으로 전원 조치


오시는 길

📍 주 소 :

성남시 분당구 분당내곡로 131 판교테크원타워 지하1층

🅿️ 주  차 :

판교 테크원 빌딩 내 2시간 무료 주차

지하 2층~7층까지 주차시설

🚇 지하철 :

판교역 1번 출구에서 지하로 연결


외래 진료 시간

🕘평일 : 오전 9:00 - 오후 6:00

🕘토요일 : 오전 9:00 - 오후 1:00

🕘점심 : 오후 1:00 ~ 오후 2:00

건강검진 운영

🕘평일 : 오전 7:30 - 오후 1:00

🕘토요일 : 오전 7:30 - 오후 1:00

🕘점심 : 오후 1:00 ~ 오후 2:00

접수는 운영시간 30분 전에 마감됩니다.


지앤이알파돔메디컬센터의원 | 대표 : 박세진 | 373-96-01477

Copyright G&E Medical All Right Reserved.