한 줄 요약

충수염은 분석(fecalith)이나 충수결석(appendicolith), 림프구 증식, 씨앗 같은 이물질, 또는 종양 등에 의한 충수 내강의 폐쇄로 발생합니다. 맹장은 대장의 시작하는 부분으로 충수돌기라는 창자가 붙어있는 곳이기 때문에 충수돌기염을 맹장염이라고 부릅니다.

이런 증상이 있었어요

담당의 코멘트

신체검진에서 우하복부에서 좌하복부에 압통을 호소하셨으나, 우하복부 통증을 더 심하게 느끼고 계셨습니다. 특히 좌하복부를 손으로 누를시 우하복부까지 통증을 동반하였습니다. 일반적으로 충수돌기염(충수염)의 경우 배꼽주변 통증에서 점점 우하복부 통증으로 통증의 위치가 이동하기도 하며, 좌하복부를 누를시에 우하복부 통증을 호소하기도 합니다.

병원에서는 이렇게 진행했어요

  1. 신체검진
  2. 복부CT

검사 결과, 쉽게 풀어보기

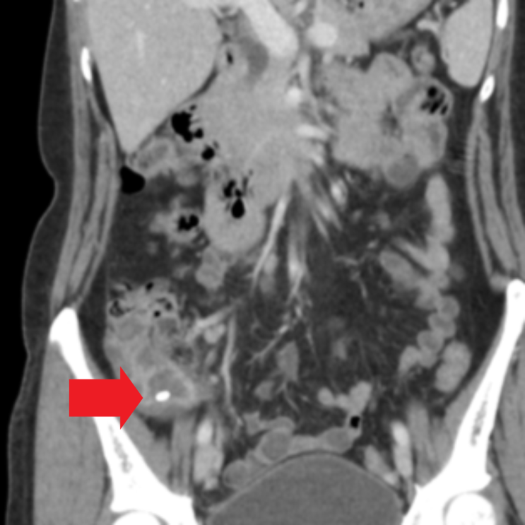
복부CT 사진을 보면 충수결석을 동반한 충수돌기 벽의 전반적 비후를 확인할 수 있습니다. 급성 충수돌기염(맹장염) 진단하여 추가 수술적 치료 위하여 상급병원 전원하였습니다.

한마디: 충수염(맹장염)은 배꼽주변 통증에서 점점 우하복부 통증으로 이동하는 특징이 있으며, 상행결장에 생기는 게실염의 경우에는 우하복부 통증을 동반할수 있어 흔히 충수돌기염과 감별이 필요합니다.

검사 결과 이미지

  • 복부CT: 충수결석을 동반한 충수돌기 벽 비후 (화살표 표시) 복부CT: 충수결석을 동반한 충수돌기 벽 비후 (화살표 표시)
  • 복부CT: 급성충수염 #맹장염 소견 복부CT: 급성충수염 #맹장염 소견
  • 충수염 해부도 참고자료 충수염 해부도 참고자료

후속조치

급성 충수돌기염(맹장염) 진단, 수술적 치료 위하여 상급병원 전원


오시는 길

📍 주 소 :

성남시 분당구 분당내곡로 131 판교테크원타워 지하1층

🅿️ 주  차 :

판교 테크원 빌딩 내 2시간 무료 주차

지하 2층~7층까지 주차시설

🚇 지하철 :

판교역 1번 출구에서 지하로 연결


외래 진료 시간

🕘평일 : 오전 9:00 - 오후 6:00

🕘토요일 : 오전 9:00 - 오후 1:00

🕘점심 : 오후 1:00 ~ 오후 2:00

건강검진 운영

🕘평일 : 오전 7:30 - 오후 1:00

🕘토요일 : 오전 7:30 - 오후 1:00

🕘점심 : 오후 1:00 ~ 오후 2:00

접수는 운영시간 30분 전에 마감됩니다.


지앤이알파돔메디컬센터의원 | 대표 : 박세진 | 373-96-01477

Copyright G&E Medical All Right Reserved.