한 줄 요약

국소 결절성 과증식(Focal Nodular Hyperplasia, FNH)은 주로 젊은 여성에서 발생하는 양성 결절입니다. 간 내 국소성 결절 과형성은 혈관종 다음으로 흔하게 발생하는 양성 종양으로 전체 간 종양 중 약 8% 정도를 차지합니다. 대부분은 무증상이고 전암병변이 아니므로 치료를 필요로 하지 않습니다. 다만 간암 가능성을 배제하기 위해 감별 검사가 필수입니다.

이런 증상이 있었어요

담당의 코멘트

환자분은 무증상으로 타병원 건강검진 복부초음파에서 간결절이 보인다는 소견으로 내원하셨습니다. 소화불량이나 명치통증 등의 증상은 없으셨으므로 바로 정밀 검사를 진행하였습니다.

병원에서는 이렇게 진행했어요

  1. 복부CT
  2. 복부MRI
  3. MRCP(담췌관 검사)

검사 결과, 쉽게 풀어보기

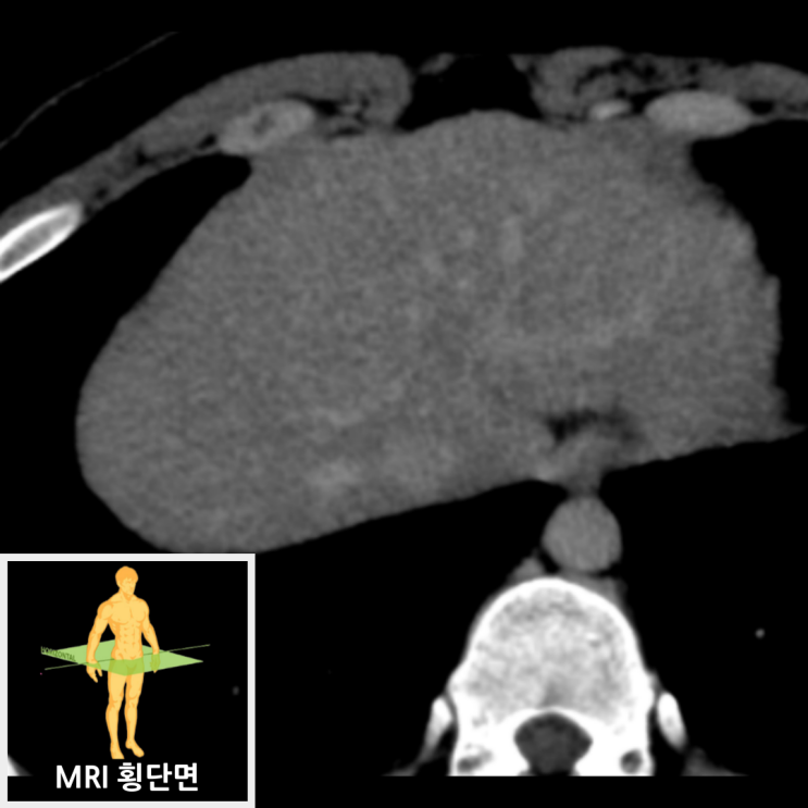
복부CT에서 중간 간엽에 3cm크기의 고음영 결절이 보였으며, 이 결절은 지연기 영상에서 간 실질과 동음영을 보였습니다. 추가적 확인을 위해 MRI를 촬영한 결과, CT상 결절은 MRI 20분 지연 영상에서 간 실질보다 고신호로 보이고 있으며, 가운데에 섬유증 반흔이 보여 국소결절과형성으로 판단되었습니다.

한마디: 국소결절과형성(FNH) 진단. 양성질환으로 전암병변이 아니므로 치료가 필요하지 않습니다. FNH는 주로 젊은 여성(남녀비 3:7)에서 발생하는 양성 결절로, 피임약 복용과는 관련이 없으나 약제 복용 중 결절 크기가 커졌다가 약제 중단 시 다시 줄어들 수 있으므로 경구피임제 복용을 권하지 않습니다.

검사 결과 이미지

  • 복부CT: 간 중간 엽 3cm 고음영 결절 복부CT: 간 중간 엽 3cm 고음영 결절
  • 복부MRI 20분 지연 영상: 국소결절과형성 확인 복부MRI 20분 지연 영상: 국소결절과형성 확인

후속조치

국소결절과형성(양성질환) 진단 확정. 추가 치료 불필요, 경구피임제 복용 비권고


오시는 길

📍 주 소 :

성남시 분당구 분당내곡로 131 판교테크원타워 지하1층

🅿️ 주  차 :

판교 테크원 빌딩 내 2시간 무료 주차

지하 2층~7층까지 주차시설

🚇 지하철 :

판교역 1번 출구에서 지하로 연결


외래 진료 시간

🕘평일 : 오전 9:00 - 오후 6:00

🕘토요일 : 오전 9:00 - 오후 1:00

🕘점심 : 오후 1:00 ~ 오후 2:00

건강검진 운영

🕘평일 : 오전 7:30 - 오후 1:00

🕘토요일 : 오전 7:30 - 오후 1:00

🕘점심 : 오후 1:00 ~ 오후 2:00

접수는 운영시간 30분 전에 마감됩니다.


지앤이알파돔메디컬센터의원 | 대표 : 박세진 | 373-96-01477

Copyright G&E Medical All Right Reserved.