한 줄 요약

심장석회화 CT(칼슘스코어)는 스크리닝으로 해부학적 협착 대신 석회화 부담을 정량화합니다. 총 점수 29는 낮은 편이지만 관상동맥 협착 초기 단계(10–100)에 해당하여 생활습관 교정과 위험인자 관리를 권장합니다.

이런 증상이 있었어요

담당의 코멘트

관상동맥이 아닌 대동맥 석회화일 때 임상 위험은 낮은 편이라 연령 대비 적정 수준이나, 관상동맥 협착 초기 단계에 해당하여 생활습관 교정 및 위험인자 관리에 대한 안내를 하였습니다.

병원에서는 이렇게 진행했어요

  1. 심장석회화 CT(칼슘스코어)

검사 결과, 쉽게 풀어보기

관상동맥 칼슘스코어 총점 29. 관상동맥 협착 위험은 낮으나, 금연·운동·식이·지질 관리로 심장질환 진행을 억제하도록 교육했습니다.

한마디: 수치는 낮아도 생활습관 개선은 언제나 이득입니다.

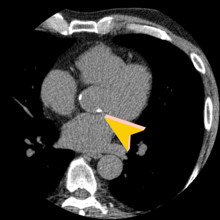
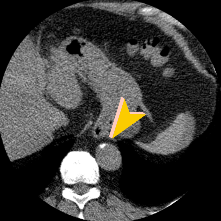
검사 결과 이미지

  • 상행 대동맥 석회화 상행 대동맥 석회화
  • 하행 대동맥 석회화 하행 대동맥 석회화
  • 칼슘스코어 표 칼슘스코어 표

후속조치

주기적인 추적관찰 필요


오시는 길

📍 주 소 :

성남시 분당구 분당내곡로 131 판교테크원타워 지하1층

🅿️ 주  차 :

판교 테크원 빌딩 내 2시간 무료 주차

지하 2층~7층까지 주차시설

🚇 지하철 :

판교역 1번 출구에서 지하로 연결


외래 진료 시간

🕘평일 : 오전 9:00 - 오후 6:00

🕘토요일 : 오전 9:00 - 오후 1:00

🕘점심 : 오후 1:00 ~ 오후 2:00

건강검진 운영

🕘평일 : 오전 7:30 - 오후 1:00

🕘토요일 : 오전 7:30 - 오후 1:00

🕘점심 : 오후 1:00 ~ 오후 2:00

접수는 운영시간 30분 전에 마감됩니다.


지앤이알파돔메디컬센터의원 | 대표 : 박세진 | 373-96-01477

Copyright G&E Medical All Right Reserved.