한 줄 요약

심전도검사와 심초음파가 정상이어도 관상동맥 CT로 해부학적 협착을 확인할 수 있습니다. 본 증례는 좌측 관상동맥의 두 부위 중증 협착이 관찰되어 협심증(허혈성 심장질환)으로 판단, 치료가 시급해 상급병원 연계를 진행했습니다.

이런 증상이 있었어요

담당의 코멘트

비전형적인 가슴통증(흉통)에서도 해부학적 평가(관상동맥CT)를 시행하는 것은 더 큰 위험에서 스스로를 지키는 방법입니다.

병원에서는 이렇게 진행했어요

  1. 심전도
  2. 심장초음파
  3. 관상동맥 CT

검사 결과, 쉽게 풀어보기

ECG·심초음파 특이 소견 없음. 관상동맥 CT 검사 결과 좌관상동맥 2부위 중증 협착 명확히 확인되었고, 즉시 스텐트 치료 필요성 높아 상급병원으로 전원.

한마디: 가슴통증(흉통)이 반복되면 ‘일차적인 검사’만 믿지 말고, 관상동맥을 직접 확인합시다.

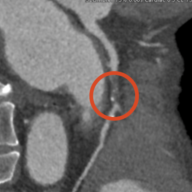
검사 결과 이미지

  • 3D 관상동맥: 협착 부위 3D 관상동맥: 협착 부위
  • 3D 관상동맥: 협착 부위 3D 관상동맥: 협착 부위
  • 좌측 관상동맥 2곳에서 협착 발견 좌측 관상동맥 2곳에서 협착 발견
  • 좌측 관상동맥 2곳에서 협착 발견 좌측 관상동맥 2곳에서 협착 발견

후속조치

관상동맥 혈관 2부위에서 심한 협착(협심증) 소견으로 즉시 스텐트 치료가 필요한 상태로 상급병원으로 전원


오시는 길

📍 주 소 :

성남시 분당구 분당내곡로 131 판교테크원타워 지하1층

🅿️ 주  차 :

판교 테크원 빌딩 내 2시간 무료 주차

지하 2층~7층까지 주차시설

🚇 지하철 :

판교역 1번 출구에서 지하로 연결


외래 진료 시간

🕘평일 : 오전 9:00 - 오후 6:00

🕘토요일 : 오전 9:00 - 오후 1:00

🕘점심 : 오후 1:00 ~ 오후 2:00

건강검진 운영

🕘평일 : 오전 7:30 - 오후 1:00

🕘토요일 : 오전 7:30 - 오후 1:00

🕘점심 : 오후 1:00 ~ 오후 2:00

접수는 운영시간 30분 전에 마감됩니다.


지앤이알파돔메디컬센터의원 | 대표 : 박세진 | 373-96-01477

Copyright G&E Medical All Right Reserved.