한 줄 요약

좌심실 벽이 비정상적으로 두꺼워지는 비후성 심근증(HCM)은 운동 시 호흡곤란·어지럼을 유발할 수 있으며, 좌심실 유출로 협착이 동반되면 실신 위험도 증가합니다. 본 증례에서는 심전도 검사 시 좌심실비대 소견 후 심장초음파에서 좌심실 유출로 협착이 의심되는 상태로 비후성 심근병증이 의심되어 추가 검사 및 치료를 위해 상급병원에 의뢰하였습니다.

이런 증상이 있었어요

담당의 코멘트

증상을 토대로 심전도 검사 결과 좌심실비대 소견을 고려해 지연 없이 초음파를 시행했고, 비후성 심근병증 의심으로 상급병원 평가를 의뢰했습니다.

병원에서는 이렇게 진행했어요

  1. 심전도
  2. 심장초음파

검사 결과, 쉽게 풀어보기

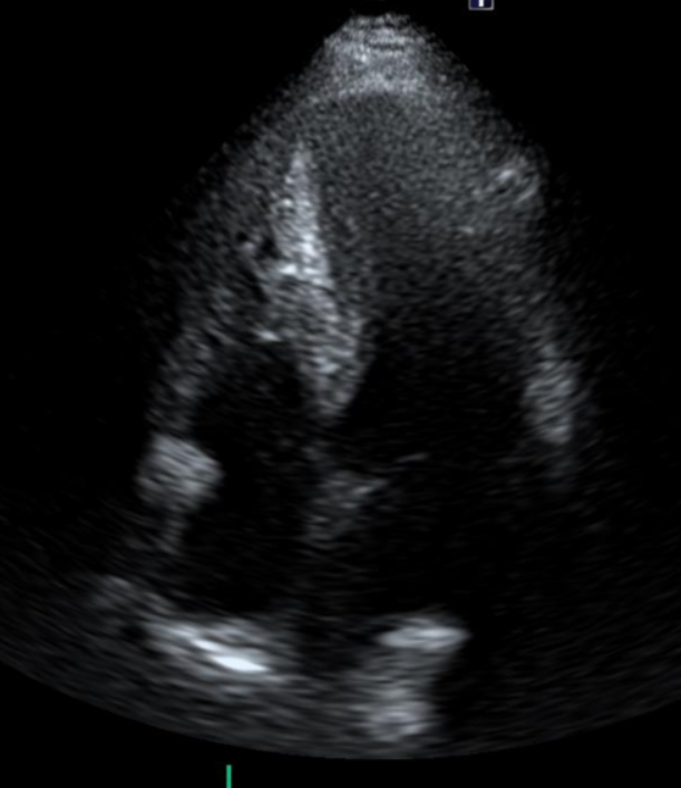
심장초음파에서 좌심실 중격/벽의 현저한 비후와 유출로 협착 의심. 비후성 심근증 가능성이 높아 추가 정밀 검사 및 치료 계획 수립을 위해 상급병원 연계.

한마디: 운동할 때 숨이 차고 어지럽다면 심장 구조적 원인을 먼저 살펴보아야 합니다.

검사 결과 이미지

  • ECG: 좌심실비대 ECG: 좌심실비대
  • 심장초음파: 좌심실 비후 심장초음파: 좌심실 비후
  • 심장초음파: 좌심실 유출로 협착 의심 심장초음파: 좌심실 유출로 협착 의심

후속조치

비후성 심근증으로 의심되는 소견으로 추가 정밀 검사 및 치료를 위해 상급병원 전원


오시는 길

📍 주 소 :

성남시 분당구 분당내곡로 131 판교테크원타워 지하1층

🅿️ 주  차 :

판교 테크원 빌딩 내 2시간 무료 주차

지하 2층~7층까지 주차시설

🚇 지하철 :

판교역 1번 출구에서 지하로 연결


외래 진료 시간

🕘평일 : 오전 9:00 - 오후 6:00

🕘토요일 : 오전 9:00 - 오후 1:00

🕘점심 : 오후 1:00 ~ 오후 2:00

건강검진 운영

🕘평일 : 오전 7:30 - 오후 1:00

🕘토요일 : 오전 7:30 - 오후 1:00

🕘점심 : 오후 1:00 ~ 오후 2:00

접수는 운영시간 30분 전에 마감됩니다.


지앤이알파돔메디컬센터의원 | 대표 : 박세진 | 373-96-01477

Copyright G&E Medical All Right Reserved.