한 줄 요약

X-ray가 정상이더라도 통증·불안정감이 지속된다면 MRI로 인대 손상을 평가해야 합니다. 본 환자는 외측 인대 복합체 파열 소견으로 초기 치료 및 재활이 핵심입니다.

이런 증상이 있었어요

담당의 코멘트

보행 시 바깥쪽 발목 불안정감과 반복적 ‘삐끗’ 느낌이 특징이었습니다. 외측 인대 손상 가능성을 우선 고려했고, MRI에서 정확히 확인했습니다.

병원에서는 이렇게 진행했어요

  1. 발목 MRI(관상·시상·축상)
  2. 하중 X-ray(선택)

검사 결과, 쉽게 풀어보기

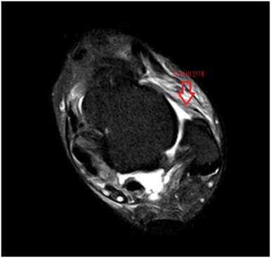
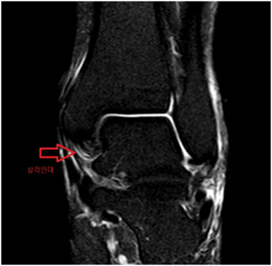
발목 MRI에서 바깥쪽 인대를 구성하는 전거비인대, 후거비인대에 심한 손상, 안쪽 인대를 구성하는 삼각인대 손상, 발목 경비인대결합 손상으로 수술이 가능한 정형외과 병원으로 전원하였습니다.

한마디: 발목을 자주 접질린다면 인대의 기능 회복이 관건입니다. 적절한 치료와 단계적 재활이 재발을 줄입니다.

검사 결과 이미지

  • MRI 검사: 인대 손상 MRI 검사: 인대 손상
  • MRI 검사: 인대 손상 MRI 검사: 인대 손상
  • MRI 검사: 인대 손상 MRI 검사: 인대 손상
  • MRI 검사: 인대 손상 MRI 검사: 인대 손상

후속조치

수술이 가능한 정형외과로 전원


오시는 길

📍 주 소 :

성남시 분당구 분당내곡로 131 판교테크원타워 지하1층

🅿️ 주  차 :

판교 테크원 빌딩 내 2시간 무료 주차

지하 2층~7층까지 주차시설

🚇 지하철 :

판교역 1번 출구에서 지하로 연결


외래 진료 시간

🕘평일 : 오전 9:00 - 오후 6:00

🕘토요일 : 오전 9:00 - 오후 1:00

🕘점심 : 오후 1:00 ~ 오후 2:00

건강검진 운영

🕘평일 : 오전 7:30 - 오후 1:00

🕘토요일 : 오전 7:30 - 오후 1:00

🕘점심 : 오후 1:00 ~ 오후 2:00

접수는 운영시간 30분 전에 마감됩니다.


지앤이알파돔메디컬센터의원 | 대표 : 박세진 | 373-96-01477

Copyright G&E Medical All Right Reserved.