한 줄 요약

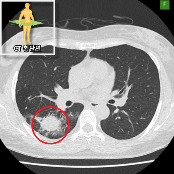
4주 이상 지속되는 기침은 단순 감기 후 기침일 수도 있지만, 흉부 영상에서 이상이 보이면 저선량 흉부 CT로 염증/결절 여부를 확인해야 합니다. 본 증례는 우하엽에 염증성 병변이 확인되어 폐렴 의심 소견으로, 이전 결핵을 앓은 적이 있어 추가 치료가 필요해 상급병원으로 전원하였습니다.

이런 증상이 있었어요

담당의 코멘트

한달 이상 이어진 기침 증상과 흉부 X-ray의 비정상 소견이 있어 흉부CT로 범위와 성격을 구체화했습니다.

병원에서는 이렇게 진행했어요

  1. 흉부 저선량 CT
  2. 기본 혈액검사(CRP·WBC)

검사 결과, 쉽게 풀어보기

저선량 흉부 CT에서 우하엽에 염증성 고음영이 관찰되며 폐렴에 합당한 소견입니다. 이전 결핵을 앓은 적이 있어 추가 치료가 필요하다고 판단하여 상급병원으로 전원하였습니다.

한마디: 기침이 오래가면 단순 감기로 넘기지 말고, 영상 검사로 원인을 확인해 치료 시기를 놓치지 않는 것이 중요합니다.

검사 결과 이미지

  • X-ray 검사 결과 X-ray 검사 결과
  • CT 관상면 CT 관상면
  • CT 횡단면 CT 횡단면

후속조치

폐렴으로 상급병원으로 전원


오시는 길

📍 주 소 :

성남시 분당구 분당내곡로 131 판교테크원타워 지하1층

🅿️ 주  차 :

판교 테크원 빌딩 내 2시간 무료 주차

지하 2층~7층까지 주차시설

🚇 지하철 :

판교역 1번 출구에서 지하로 연결


외래 진료 시간

🕘평일 : 오전 9:00 - 오후 6:00

🕘토요일 : 오전 9:00 - 오후 1:00

🕘점심 : 오후 1:00 ~ 오후 2:00

건강검진 운영

🕘평일 : 오전 7:30 - 오후 1:00

🕘토요일 : 오전 7:30 - 오후 1:00

🕘점심 : 오후 1:00 ~ 오후 2:00

접수는 운영시간 30분 전에 마감됩니다.


지앤이알파돔메디컬센터의원 | 대표 : 박세진 | 373-96-01477

Copyright G&E Medical All Right Reserved.