한 줄 요약

췌관내유두점액낭종(IPMN)은 췌장의 췌관 내에서 발생하는 점액성 낭종으로, 췌장담도와 연결성이 있는 것이 특징입니다. CA19-9(췌장암표지자) 수치가 상승한 경우 췌장 정밀검사를 통해 원인을 파악하는 것이 중요하며, 췌장MRI가 췌장 낭종성 병변의 평가에 유용한 검사입니다.

이런 증상이 있었어요

담당의 코멘트

환자분은 무증상이셨고, 타병원 건강검진에서 CA19-9 수치가 정상범위를 벗어나 정밀검사를 위해 내원하셨습니다. 이전 췌장 쪽은 초음파 말고는 해본 적이 없으시다고 하셨습니다.

병원에서는 이렇게 진행했어요

  1. 췌장MRI

검사 결과, 쉽게 풀어보기

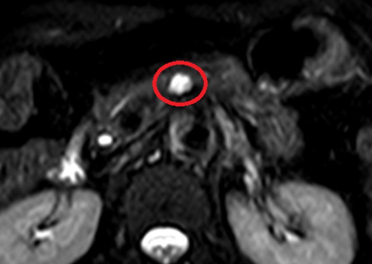
췌장MRI 검사 결과, 췌장몸통 쪽으로 약 1cm 가량의 물혹이 보이고 있으며, 이는 췌장담도와 연결성이 보이고 있습니다. 이에 췌관내유두점액낭종으로 생각이 되며, 이에 대해서 추가적인 치료를 위해 상급병원에 진료의뢰드렸습니다.

한마디: CA19-9 수치 상승은 췌장암뿐 아니라 췌장 낭종성 병변에서도 나타날 수 있습니다. 무증상이더라도 표지자 수치 이상이 있으면 췌장MRI 등 정밀검사를 통해 원인을 확인하는 것이 중요합니다.

검사 결과 이미지

  • 췌장MRI: 췌장담도와 연결성 확인(빨간 동그라미) 췌장MRI: 췌장담도와 연결성 확인(빨간 동그라미)

후속조치

췌관내유두점액낭종 진단, 추가적인 치료를 위해 상급병원에 진료의뢰


오시는 길

📍 주 소 :

성남시 분당구 분당내곡로 131 판교테크원타워 지하1층

🅿️ 주  차 :

판교 테크원 빌딩 내 2시간 무료 주차

지하 2층~7층까지 주차시설

🚇 지하철 :

판교역 1번 출구에서 지하로 연결


외래 진료 시간

🕘평일 : 오전 9:00 - 오후 6:00

🕘토요일 : 오전 9:00 - 오후 1:00

🕘점심 : 오후 1:00 ~ 오후 2:00

건강검진 운영

🕘평일 : 오전 7:30 - 오후 1:00

🕘토요일 : 오전 7:30 - 오후 1:00

🕘점심 : 오후 1:00 ~ 오후 2:00

접수는 운영시간 30분 전에 마감됩니다.


지앤이알파돔메디컬센터의원 | 대표 : 박세진 | 373-96-01477

Copyright G&E Medical All Right Reserved.