한 줄 요약

충수염(맹장염)은 충수돌기에 염증이 생기는 것으로 입구가 막히면서 발생합니다. 맹장은 대장의 시작하는 부분으로 충수돌기라는 창자가 붙어있는 곳이기 때문에 충수돌기염을 맹장염이라고 부릅니다.

이런 증상이 있었어요

담당의 코멘트

이미 복통으로 다른 병원에서 처방받은 약으로 차도가 없는 상태였고, 오른쪽 아랫배 통증은 충수염(맹장염)이나 게실염 우려가 있어 복부CT 검사를 진행하였습니다.

병원에서는 이렇게 진행했어요

  1. 혈액검사
  2. 복부CT

검사 결과, 쉽게 풀어보기

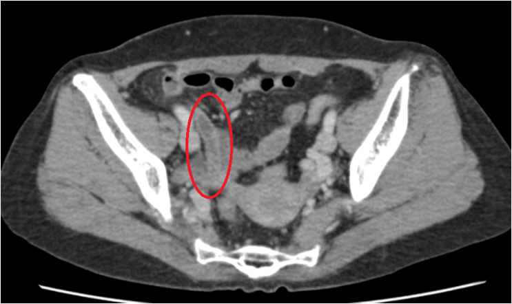
CT 사진을 보면 충수가 늘어나 있었으며 주변으로 염증 반응이 보여 급성 충수염으로 진단하였습니다. (혈액검사에서도 이상수치가 발견되었습니다.) 현재 환자는 빠른 수술이 필요한 상태로 충수염 수술이 가능한 병원으로 전원해드렸습니다.

한마디: 충수염(맹장염)은 충수돌기에 염증이 생기는 것으로, 입구가 막히면서 발생합니다. 초기에는 충수돌기 안쪽에만 고름이 고이지만 이것이 지속되면 결국은 벽이 썩어서 고름이 바깥으로 나오는 것이 복막염입니다.

검사 결과 이미지

  • 복부CT: 충수 늘어남 및 주변 염증 반응 (빨간 동그라미) 복부CT: 충수 늘어남 및 주변 염증 반응 (빨간 동그라미)
  • 혈액검사: Segment neutrophil 78.0% (감염/염증 수치) 혈액검사: Segment neutrophil 78.0% (감염/염증 수치)
  • 충수염 해부도 참고자료 충수염 해부도 참고자료

후속조치

급성 충수염(맹장염) 진단, 빠른 수술 필요하여 수술 가능한 병원으로 전원


오시는 길

📍 주 소 :

성남시 분당구 분당내곡로 131 판교테크원타워 지하1층

🅿️ 주  차 :

판교 테크원 빌딩 내 2시간 무료 주차

지하 2층~7층까지 주차시설

🚇 지하철 :

판교역 1번 출구에서 지하로 연결


외래 진료 시간

🕘평일 : 오전 9:00 - 오후 6:00

🕘토요일 : 오전 9:00 - 오후 1:00

🕘점심 : 오후 1:00 ~ 오후 2:00

건강검진 운영

🕘평일 : 오전 7:30 - 오후 1:00

🕘토요일 : 오전 7:30 - 오후 1:00

🕘점심 : 오후 1:00 ~ 오후 2:00

접수는 운영시간 30분 전에 마감됩니다.


지앤이알파돔메디컬센터의원 | 대표 : 박세진 | 373-96-01477

Copyright G&E Medical All Right Reserved.