한 줄 요약

무증상 건강검진에서 복부초음파로 간 결절이 발견되어 복부CT로 추가 확인한 결과, 일반적인 혈관종이 아니라 간선종이거나 더 나아가서 간암의 가능성까지 가지고 있는 병변으로 판단되었습니다. 간초음파 경험이 없는 환자분의 경우, 정기적인 건강검진의 중요성을 보여주는 사례입니다.

이런 증상이 있었어요

담당의 코멘트

무증상 환자로, 건강검진 목적으로 내원하여 복부초음파를 추가로 시행하였습니다.

병원에서는 이렇게 진행했어요

  1. 복부초음파
  2. 복부CT

검사 결과, 쉽게 풀어보기

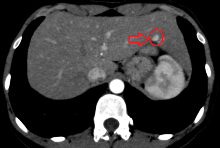
복부 초음파상에서 왼쪽 간엽에 약 1.2cm 크기의 고에코를 가지는 결절이 보이고 있습니다. 이전에 간초음파를 한 번도 한 적이 없던 환자로, 정확한 진단을 위해 추가적인 검사를 요청하여 복부CT를 진행하였습니다. 간의 왼쪽엽에 약 1.2cm 크기의 동맥기영상에서 하얗게 보이고, 지연기 영상에서 까맣게 보이는 병변을 확인할 수 있었고, 이는 일반적인 혈관종이 아니라 간선종이거나 더 나아가서 간암의 가능성까지 가지고 있는 병변입니다.

한마디: 무증상이라도 건강검진을 통해 초음파에서 간 결절이 발견될 수 있으며, 추가 CT 검사를 통해 간선종 또는 간암 가능성을 조기에 확인할 수 있습니다.

검사 결과 이미지

  • 복부초음파: 왼쪽 간엽 1.2cm 고에코 결절 복부초음파: 왼쪽 간엽 1.2cm 고에코 결절
  • 복부CT: 간 왼쪽엽 병변 (빨간 동그라미 표시) 복부CT: 간 왼쪽엽 병변 (빨간 동그라미 표시)
  • 복부CT: 좌측 동맥기영상, 우측 지연기 영상 복부CT: 좌측 동맥기영상, 우측 지연기 영상

후속조치

간선종 또는 간암 가능성 있는 병변 확인, 상급병원으로 전원하여 추가 검사 요청


오시는 길

📍 주 소 :

성남시 분당구 분당내곡로 131 판교테크원타워 지하1층

🅿️ 주  차 :

판교 테크원 빌딩 내 2시간 무료 주차

지하 2층~7층까지 주차시설

🚇 지하철 :

판교역 1번 출구에서 지하로 연결


외래 진료 시간

🕘평일 : 오전 9:00 - 오후 6:00

🕘토요일 : 오전 9:00 - 오후 1:00

🕘점심 : 오후 1:00 ~ 오후 2:00

건강검진 운영

🕘평일 : 오전 7:30 - 오후 1:00

🕘토요일 : 오전 7:30 - 오후 1:00

🕘점심 : 오후 1:00 ~ 오후 2:00

접수는 운영시간 30분 전에 마감됩니다.


지앤이알파돔메디컬센터의원 | 대표 : 박세진 | 373-96-01477

Copyright G&E Medical All Right Reserved.