한 줄 요약

간농양이란 세균이나 기생충이 간에서 증식하여 농양(고름 덩어리)을 형성하여 질병을 일으키는 것을 말합니다. 상복부 통증처럼 위염 증상으로 나타날 수 있어 확인이 어렵습니다. 진단이 늦어 적절한 치료시기를 놓치게 되면 패혈증, 복막염 등으로 사망할 수 있는 위험한 질환이므로 적절한 시기의 진단과 치료가 중요합니다.

이런 증상이 있었어요

담당의 코멘트

복통(복부통증, 우상복부통증)이 있으며 이전에 췌장절제술 수술 이력이 있는 환자분으로, 진료 후 기본 피검사를 진행하였습니다.

병원에서는 이렇게 진행했어요

  1. 혈액검사
  2. 복부CT

검사 결과, 쉽게 풀어보기

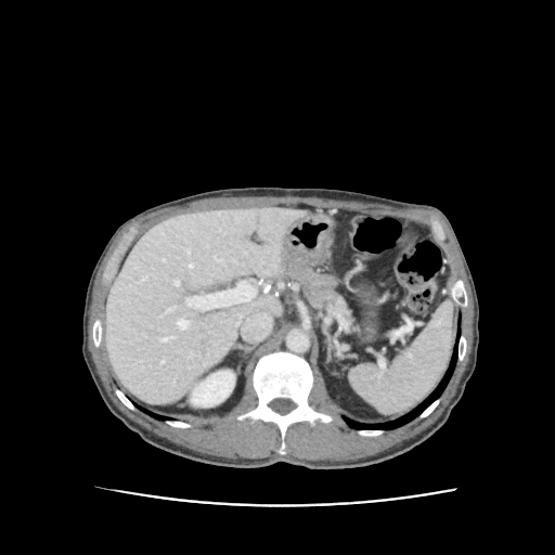
혈액검사상 간수치와 함께 염증수치가 기준치보다 높게 나타났습니다. 간기능에 문제가 있을것으로 사료되었고, 기존 병력을 고려하여 복부CT를 진행하였습니다. 복부CT 촬영상 췌장쪽에서는 병변이 발견되지 않았고, 간의 6번 구획에서 병변이 발견되어 간농양으로 판단되었습니다.

한마디: 간농양은 상복부 통증처럼 위염 증상으로 나타날 수 있어 확인이 어렵습니다. 발열, 몸살과 같은 감기 증상, 염증성 증상으로도 나타날 수 있으며, 진단이 늦으면 패혈증, 복막염 등 위험한 합병증으로 이어질 수 있습니다.

검사 결과 이미지

  • 복부CT: 간에서 병변이 보이는 소견 복부CT: 간에서 병변이 보이는 소견
  • 복부CT: 간 6번 구획 간농양 표시(빨간 동그라미) 복부CT: 간 6번 구획 간농양 표시(빨간 동그라미)
  • 간농양 참고자료 (Pyogenic Abscess 해부도) 간농양 참고자료 (Pyogenic Abscess 해부도)

후속조치

간농양 진단, 입원하여 항생제 치료를 받으셔야 하는 부분이라 원래 수술하셨던 병원으로 전원


오시는 길

📍 주 소 :

성남시 분당구 분당내곡로 131 판교테크원타워 지하1층

🅿️ 주  차 :

판교 테크원 빌딩 내 2시간 무료 주차

지하 2층~7층까지 주차시설

🚇 지하철 :

판교역 1번 출구에서 지하로 연결


외래 진료 시간

🕘평일 : 오전 9:00 - 오후 6:00

🕘토요일 : 오전 9:00 - 오후 1:00

🕘점심 : 오후 1:00 ~ 오후 2:00

건강검진 운영

🕘평일 : 오전 7:30 - 오후 1:00

🕘토요일 : 오전 7:30 - 오후 1:00

🕘점심 : 오후 1:00 ~ 오후 2:00

접수는 운영시간 30분 전에 마감됩니다.


지앤이알파돔메디컬센터의원 | 대표 : 박세진 | 373-96-01477

Copyright G&E Medical All Right Reserved.