한 줄 요약

간 양성 종양(benign liver lesion)으로 분류되는 질환들은 암으로 진행하지 않는 양성 병변입니다. 가장 흔한 양성 종양으로는 간혈관종, 간낭종, 간선종 등이 있습니다. 이들 질환은 대부분 무증상이며 우연히 발견되는 경우가 많으며, 정기적인 추적 검사를 통해 크기 변화를 모니터링합니다. 악성으로의 변환 위험도가 거의 없으므로 대부분의 경우 경과 관찰로 충분합니다.

이런 증상이 있었어요

담당의 코멘트

건강검진을 위해 내원한 무증상 환자분입니다. 간에 작은 이상 소견이 있어 정밀 검사를 시행했습니다. 복부 CT를 통해 병변의 성상을 추가 확인했습니다.

병원에서는 이렇게 진행했어요

  1. 상복부초음파
  2. 복부CT

검사 결과, 쉽게 풀어보기

초음파에서 우측 위의 중등부에서 약 2.6cm 크기의 저에코 결절이 발견되었습니다. 복부 CT 검사 결과 동맥기와 문맥기 사이에 이 병변의 크기 및 강화 정도에 약간의 차이가 있었습니다. CT 소견상 약 2.6cm 크기의 혼합 강화 병변이 관찰되었으며, 이는 간의 양성 종양으로 생각됩니다. 다만 완전한 양성 진단을 위해 추적 CT 검사를 권장합니다.

한마디: 현재 영상 검사 소견상 간의 양성 병변으로 진단됩니다. 확정 진단 및 경과 관찰을 위해 6-12개월 후 추적 CT 검사를 권장합니다. 병변의 크기가 증가하거나 악성을 시사하는 소견이 나타나면 추가적인 검사나 중재적 치료를 고려할 수 있습니다. 현재로서는 경과 관찰이 적절합니다.

검사 결과 이미지

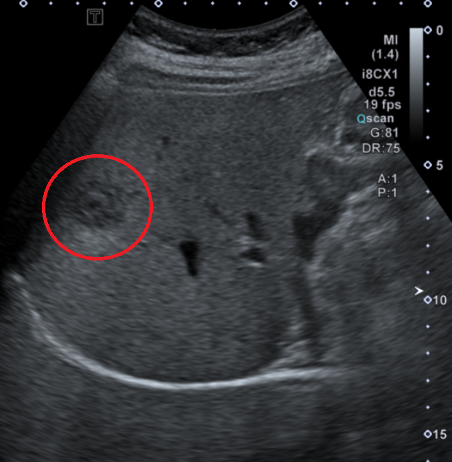
  • 상복부초음파: 우측 위 중등부 저에코 결절 (붉은 동그라미) 상복부초음파: 우측 위 중등부 저에코 결절 (붉은 동그라미)
  • 복부CT 동맥기: 간의 양성 종양 병변 (붉은 동그라미) 복부CT 동맥기: 간의 양성 종양 병변 (붉은 동그라미)
  • 간의 양성 종양 및 악성 종양 구분 참고도 간의 양성 종양 및 악성 종양 구분 참고도

후속조치

간 양성 종양 진단. 6-12개월 주기 추적 CT 검사 권장. 크기 증가 또는 악성 소견 발생 시 추가 평가 필요.


오시는 길

📍 주 소 :

성남시 분당구 분당내곡로 131 판교테크원타워 지하1층

🅿️ 주  차 :

판교 테크원 빌딩 내 2시간 무료 주차

지하 2층~7층까지 주차시설

🚇 지하철 :

판교역 1번 출구에서 지하로 연결


외래 진료 시간

🕘평일 : 오전 9:00 - 오후 6:00

🕘토요일 : 오전 9:00 - 오후 1:00

🕘점심 : 오후 1:00 ~ 오후 2:00

건강검진 운영

🕘평일 : 오전 7:30 - 오후 1:00

🕘토요일 : 오전 7:30 - 오후 1:00

🕘점심 : 오후 1:00 ~ 오후 2:00

접수는 운영시간 30분 전에 마감됩니다.


지앤이알파돔메디컬센터의원 | 대표 : 박세진 | 373-96-01477

Copyright G&E Medical All Right Reserved.