한 줄 요약

간혈관종이란 혈관 조직이 비정상적으로 증식, 확장하여 뭉쳐서 덩어리를 이룬 것입니다. 피부나 위장관 등 신체의 다른 곳에서도 발생할 수 있으나 간 혈관종이 가장 흔하게 발생합니다. 간에서 발견되는 흔한 양성질환으로 초음파를 통해 추적관찰을 하게 됩니다.

이런 증상이 있었어요

담당의 코멘트

지속적인 소화불량과 갈비뼈 통증을 호소하시는 환자분으로, 진료 후 기본 피검사와 복부초음파로 진행하였습니다.

병원에서는 이렇게 진행했어요

  1. 상복부초음파
  2. 복부CT

검사 결과, 쉽게 풀어보기

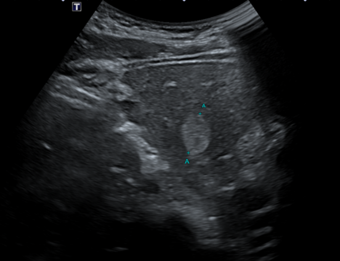
복부초음파상에서 왼쪽 간엽에 1.7cm크기의 고에코 결절이 발견되었습니다. 추가적인 정밀 확인을 위해 복부CT검사를 시행하였습니다. 복부CT에서 왼쪽간엽에 초음파에서 보이는 부분으로 약 1.7cm크기의 혈관종으로 생각되는 병변을 확인할 수 있었습니다.

한마디: 혈관종은 간에서 발견되는 흔한 양성질환으로 초음파를 통해 추적관찰을 하기로 하였습니다. 다만 만성 간 질환이 있거나 간암, 악성 종양의 병력이 있는 경우 혈관종과 유사하게 보일 수 있어 임상적인 추적 검사가 필요합니다.

검사 결과 이미지

  • 복부CT: 간혈관종 병변 확인(빨간 동그라미) 복부CT: 간혈관종 병변 확인(빨간 동그라미)
  • 간혈관종(Hemangioma) 참고 해부도 간혈관종(Hemangioma) 참고 해부도

후속조치

간혈관종(양성질환) 진단, 초음파를 통한 추적관찰 예정


오시는 길

📍 주 소 :

성남시 분당구 분당내곡로 131 판교테크원타워 지하1층

🅿️ 주  차 :

판교 테크원 빌딩 내 2시간 무료 주차

지하 2층~7층까지 주차시설

🚇 지하철 :

판교역 1번 출구에서 지하로 연결


외래 진료 시간

🕘평일 : 오전 9:00 - 오후 6:00

🕘토요일 : 오전 9:00 - 오후 1:00

🕘점심 : 오후 1:00 ~ 오후 2:00

건강검진 운영

🕘평일 : 오전 7:30 - 오후 1:00

🕘토요일 : 오전 7:30 - 오후 1:00

🕘점심 : 오후 1:00 ~ 오후 2:00

접수는 운영시간 30분 전에 마감됩니다.


지앤이알파돔메디컬센터의원 | 대표 : 박세진 | 373-96-01477

Copyright G&E Medical All Right Reserved.