한 줄 요약

복강내 악성림프종으로 인한 복수가 차는 증상은 해당 종양이 복강 내에 위치하고 있어 종양이 증식하면서 복부의 부피가 증가하면서 발생합니다. 복수가 차면 복통, 복부팽창, 복부부종, 소화불량, 체중감소, 구역질, 위장장애, 소변 어려움 등의 증상이 나타날 수 있습니다.

이런 증상이 있었어요

담당의 코멘트

5개월 이상 명치부터 배꼽 주변까지 통증을 호소하시며, 동반증상으로 체중감소가 동반되었기 때문에 환자분 상의하 혈액검사 및 CT 추가 검사 시행하였습니다. 증상이 나타났을 당시 타병원에서 위내시경 및 초음파를 시행했으나 별다른 이상 소견을 발견하지 못하셨다고 합니다.

병원에서는 이렇게 진행했어요

  1. 혈액검사
  2. 복부CT

검사 결과, 쉽게 풀어보기

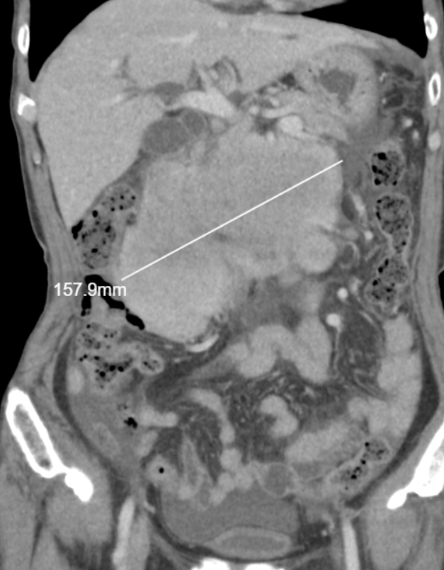
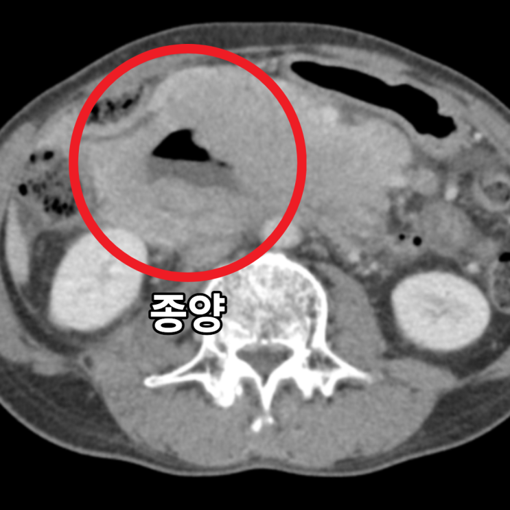
혈액검사에서 큰 이상소견 보이지 않아, 추가로 CT 당일 시행하였습니다. 시행한 복부 CT상에서 불편감을 호소하시는 부위에 약 16cm 크기의 큰 종양이 확인되었으며, 주변 임파선 크기 증가 및 복수가 확인되어, 림프증식성 질환이나 육종등의 종양이 주변 임파선 및 복막으로 전이되었을 가능성이 확인되었습니다.

한마디: 악성림프종이 의심되는 경우 신속한 치료가 중요합니다. 명치통증과 체중감소가 동반되는 경우, 위내시경이나 초음파에서 이상이 없더라도 복부CT를 통한 추가 검사로 복강내 종양을 확인할 수 있습니다.

검사 결과 이미지

  • 복부CT 횡단면: 약 16cm 크기 종양 확인(빨간 동그라미) 복부CT 횡단면: 약 16cm 크기 종양 확인(빨간 동그라미)
  • 복부CT 관상면: 종양 크기 157.9mm 측정 복부CT 관상면: 종양 크기 157.9mm 측정
  • 복부CT 횡단면: 복수 확인(빨간 동그라미) 복부CT 횡단면: 복수 확인(빨간 동그라미)
  • 복강내 림프절 참고 해부도 복강내 림프절 참고 해부도

후속조치

악성림프종 의심(약 16cm 종양, 임파선전이, 복막전이 가능성), 신속한 치료를 위해 상급병원 전원


오시는 길

📍 주 소 :

성남시 분당구 분당내곡로 131 판교테크원타워 지하1층

🅿️ 주  차 :

판교 테크원 빌딩 내 2시간 무료 주차

지하 2층~7층까지 주차시설

🚇 지하철 :

판교역 1번 출구에서 지하로 연결


외래 진료 시간

🕘평일 : 오전 9:00 - 오후 6:00

🕘토요일 : 오전 9:00 - 오후 1:00

🕘점심 : 오후 1:00 ~ 오후 2:00

건강검진 운영

🕘평일 : 오전 7:30 - 오후 1:00

🕘토요일 : 오전 7:30 - 오후 1:00

🕘점심 : 오후 1:00 ~ 오후 2:00

접수는 운영시간 30분 전에 마감됩니다.


지앤이알파돔메디컬센터의원 | 대표 : 박세진 | 373-96-01477

Copyright G&E Medical All Right Reserved.