한 줄 요약

췌장의 낭성 종양에는 장액성 낭성 종양, 점액성 낭성 종양, 췌관내 유두 점액성 종양, 가성 유두상 종양, 그리고 낭종성 내분비 종양 등 다양합니다. 그 중 점액성 낭종과 췌관내 유두 점액성 종양은 암으로 발전이 가능한 전암성 병변으로 분류됩니다.

이런 증상이 있었어요

담당의 코멘트

무증상 환자로, 건강검진 목적으로 상복부 초음파를 시행하였습니다.

병원에서는 이렇게 진행했어요

  1. 상복부초음파
  2. 췌장MRI

검사 결과, 쉽게 풀어보기

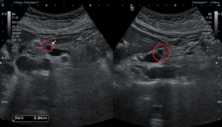
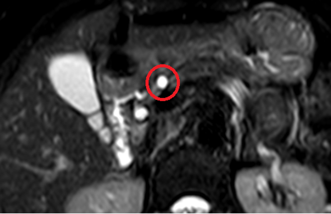
상복부 초음파 상에서 췌장머리쪽으로 8mm크기의 저에코 결절이 보이고 있습니다. 이에 대한 정확한 평가를 위해 추가적으로 췌장 MRI를 시행하였습니다. MRI상 췌장 머리쪽으로 고신호를 가진 8mm크기의 물혹이 관찰됩니다. 이 물혹은 췌관과의 연결성도 보이고 있어, 췌관내유두상점액종양으로 판단되었습니다.

한마디: 췌장낭종에서 점액성 낭종과 췌관내 유두 점액성 종양은 암으로 발전이 가능한 전암성 병변으로 분류됩니다. 정기적으로 경과를 관찰하며 추적관찰을 통해 크기 변화와 모양 변화를 확인하여 관리가 필요합니다.

검사 결과 이미지

  • 췌장MRI: 췌장 머리쪽 8mm 물혹 (빨간 동그라미) 췌장MRI: 췌장 머리쪽 8mm 물혹 (빨간 동그라미)
  • 췌장낭종 종류 참고자료 (Mayo Foundation) 췌장낭종 종류 참고자료 (Mayo Foundation)

후속조치

아직은 크기가 크지 않은 관계로 정기적으로 경과를 관찰하며 추적관찰을 통해 크기 변화와 모양 변화를 확인하여 관리 필요


오시는 길

📍 주 소 :

성남시 분당구 분당내곡로 131 판교테크원타워 지하1층

🅿️ 주  차 :

판교 테크원 빌딩 내 2시간 무료 주차

지하 2층~7층까지 주차시설

🚇 지하철 :

판교역 1번 출구에서 지하로 연결


외래 진료 시간

🕘평일 : 오전 9:00 - 오후 6:00

🕘토요일 : 오전 9:00 - 오후 1:00

🕘점심 : 오후 1:00 ~ 오후 2:00

건강검진 운영

🕘평일 : 오전 7:30 - 오후 1:00

🕘토요일 : 오전 7:30 - 오후 1:00

🕘점심 : 오후 1:00 ~ 오후 2:00

접수는 운영시간 30분 전에 마감됩니다.


지앤이알파돔메디컬센터의원 | 대표 : 박세진 | 373-96-01477

Copyright G&E Medical All Right Reserved.