한 줄 요약

혈뇨는 신장암의 비교적 뚜렷한 증상이지만, 통증이 동반되지 않는 경우가 많아 환자가 이전에 인지하지 못했던 것 같습니다. 신장암은 조기 발견이 어렵고 치료도 까다로운 암입니다. 빠른 혈액검사복부CT를 통해 정확한 진단이 가능합니다.

이런 증상이 있었어요

담당의 코멘트

우선 기본 피검사를 진행하였습니다. 피검사상에서는 염증수치가 올라가지 않은 것을 확인할 수 있었습니다. 이후 조영증강 복부CT 촬영을 하였습니다.

병원에서는 이렇게 진행했어요

  1. 혈액검사
  2. 복부CT

검사 결과, 쉽게 풀어보기

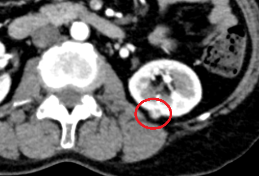
CT상에서 1.4cm크기의 조영증강이 되는 작은 병변이 왼쪽 신장에서 보였습니다. 해당 병변은 신장암의 가능성이 있는 병변이라 상급병원으로 전원을 하였습니다.

한마디: 혈뇨가 발생하면 통증이 없더라도 반드시 정밀검사를 받아야 합니다.

검사 결과 이미지

  • 복부CT 횡단촬영: 신장 병변 복부CT 횡단촬영: 신장 병변
  • 복부CT 종단촬영: 신장암 확인 복부CT 종단촬영: 신장암 확인

후속조치

신장암 의심 병변 확인, 상급병원으로 전원


오시는 길

📍 주 소 :

성남시 분당구 분당내곡로 131 판교테크원타워 지하1층

🅿️ 주  차 :

판교 테크원 빌딩 내 2시간 무료 주차

지하 2층~7층까지 주차시설

🚇 지하철 :

판교역 1번 출구에서 지하로 연결


외래 진료 시간

🕘평일 : 오전 9:00 - 오후 6:00

🕘토요일 : 오전 9:00 - 오후 1:00

🕘점심 : 오후 1:00 ~ 오후 2:00

건강검진 운영

🕘평일 : 오전 7:30 - 오후 1:00

🕘토요일 : 오전 7:30 - 오후 1:00

🕘점심 : 오후 1:00 ~ 오후 2:00

접수는 운영시간 30분 전에 마감됩니다.


지앤이알파돔메디컬센터의원 | 대표 : 박세진 | 373-96-01477

Copyright G&E Medical All Right Reserved.