한 줄 요약

좌하복부 통증잔뇨감이 동반될 경우, 여성의 경우 장염이나 여성생식기계 이상으로 인한 통증 뿐 아니라 요로 결석에 의해서도 발생할 수 있습니다. 신체검진상 늑골 척추관 압통이 확인되면 소변검사와 복부CT를 통해 정확한 진단이 가능합니다.

이런 증상이 있었어요

담당의 코멘트

신체검진상 좌측 늑골 척추관 압통이 동반되어 신우신염과 요로결석 가능성이 있어 소변검사를 시행하였습니다. 소변검사상 혈뇨가 동반되어 요로결석 가능성이 높아, 추가로 CT를 진행하였습니다.

병원에서는 이렇게 진행했어요

  1. 소변검사
  2. 복부CT

검사 결과, 쉽게 풀어보기

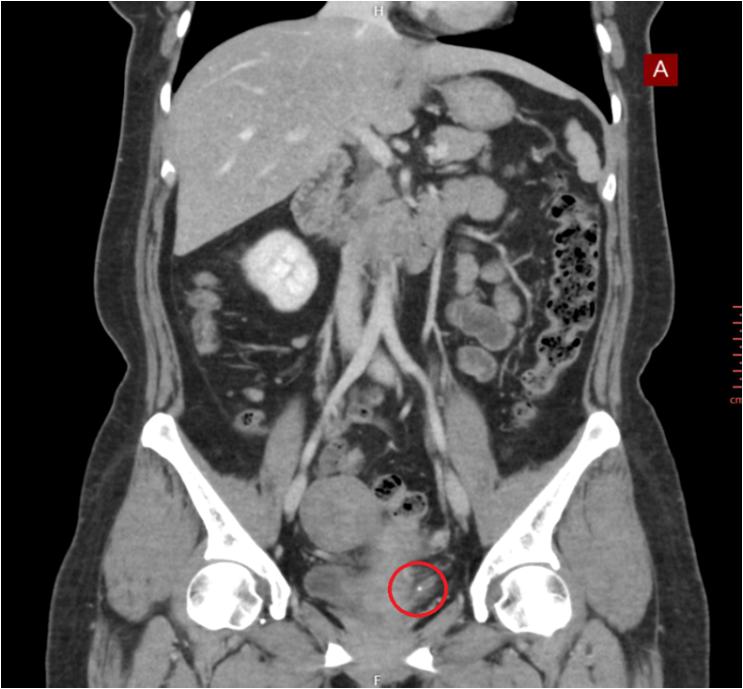
본원에서 시행한 CT상 좌측 요로 결석이 확인되어 비뇨기과로 전원하였습니다.

한마디: 좌하복부 통증은 장염이나 여성생식기계 문제 뿐 아니라 요로 결석에 의해서도 발생할 수 있습니다.

검사 결과 이미지

  • 복부CT: 좌측 요로 결석 소견 복부CT: 좌측 요로 결석 소견
  • 소변검사 결과: 혈뇨 +++ 소변검사 결과: 혈뇨 +++

후속조치

좌측 요로 결석 확인, 비뇨기과로 전원


오시는 길

📍 주 소 :

성남시 분당구 분당내곡로 131 판교테크원타워 지하1층

🅿️ 주  차 :

판교 테크원 빌딩 내 2시간 무료 주차

지하 2층~7층까지 주차시설

🚇 지하철 :

판교역 1번 출구에서 지하로 연결


외래 진료 시간

🕘평일 : 오전 9:00 - 오후 6:00

🕘토요일 : 오전 9:00 - 오후 1:00

🕘점심 : 오후 1:00 ~ 오후 2:00

건강검진 운영

🕘평일 : 오전 7:30 - 오후 1:00

🕘토요일 : 오전 7:30 - 오후 1:00

🕘점심 : 오후 1:00 ~ 오후 2:00

접수는 운영시간 30분 전에 마감됩니다.


지앤이알파돔메디컬센터의원 | 대표 : 박세진 | 373-96-01477

Copyright G&E Medical All Right Reserved.