흉부(폐CT)
저선량 또는 조영 CT로 폐실질·기도·종격동·흉벽을 신속히 평가하며, 목적에 따라 LDCT/HRCT/CTPA 등 프로토콜을 선택합니다.
잦은 기침의 원인과 질환별 증상 살펴보기
단순한 헛기침이 심장의 경고일 수 있습니다
"하루에도 몇 번, 반복되는 마른기침 그냥 넘어가도 괜찮을까요?"
"감기도 아닌데, 요즘 자꾸 헛기침이 나요."
병원 진료실에서 자주 듣는 말입니다. 기침은 가장 흔한 증상이지만, 오랫동안 반복되거나 특별한 원인 없이 발생한다면 꼭 짚고 넘어가야 할 가능성이 있습니다.
특히 하루 3회 이상, 마른 헛기침이 계속된다면 심장 기능 이상의 징후일 수 있습니다.
저희 지앤이알파돔메디컬센터에서는 잦은 기침을 단순한 기관지 자극이 아닌 심장 질환의 경고 신호로 보고, 보다 정밀한 진단과 평가를 권장합니다.


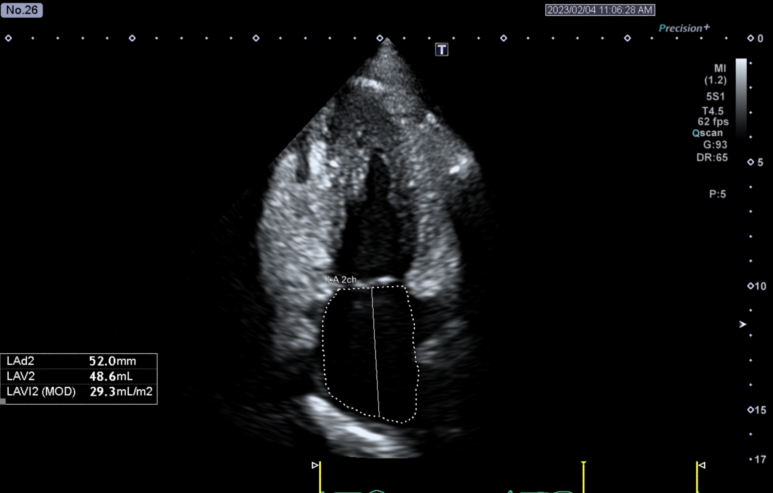
기침 > 심부전 진단된 환자분 심장(심비대)
정상적인 심장 기능은 폐와 전신으로 원활한 혈류를 공급합니다. 하지만 심장 기능이 저하되면 특히 좌심실의 펌프력이 약해지면서 폐에 혈액이 정체되게 됩니다. 이를 폐울혈이라고 하며, 폐 속의 모세혈관과 조직에 과도한 압력이 가해져 체액이 새어 나오게 됩니다.
이러한 울혈과 조직 부종은 폐의 기침 수용체(J-receptor)를 자극하게 되고, 이로 인해 마른기침 또는 숨이 찬 증상이 발생합니다. 더 진행되면 폐포까지 물이 차는 폐부종으로 이어져, 기침은 더욱 심해지고 분홍빛 거품 가래가 동반되기도 합니다.
심부전, 허혈성 심장질환(협심증, 심근경색), 심장 판막질환(승모판대동맥판 이상) 등 다양한 심장 질환에서 이런 기침이 나타날 수 있으며, 야간에 악화되거나 누웠을 때 기침이 심해지는 특징이 있습니다.

심부전 (Heart Failure)
심장의 수축 기능이 떨어져 폐정맥 압력이 상승하면서 기침, 호흡곤란, 피로감, 하지 부종 등의 증상이 함께 나타납니다.특히 밤중에 숨이 차서 깨는 발작성 야간 호흡곤란, 누워서 숨이 찬 기좌호흡은 심부전을 강하게 시사하는 증상입니다.
허혈성 심장질환 (협심증, 심근경색)
관상동맥이 좁아지거나 막히면 심장 근육에 혈류가 부족해지고, 이로 인해 가슴 통증과 함께 폐순환에 영향을 주면서 기침이나 숨참이 동반될 수 있습니다. 급성 심근경색 후 급격한 좌심실 기능 저하로 인해 폐부종이 발생하면 심한 기침이 동반됩니다.
심장 판막질환
승모판협착증, 대동맥판막질환 등은 좌심방과 좌심실의 압력을 높여 폐울혈을 유발합니다. 이때 마른 기침이나 객혈(피 섞인 기침)이 나타나며, 증상이 심하면 목소리 변화나 천명음(쌕쌕거림)까지 발생할 수 있습니다. 좌심방이 확장되어 성대신경을 압박하면 Ortner 증후군이 발생하기도 합니다.

심장혈관이 막히고 있는 '협심증' 환자분의 심장혈관 상태


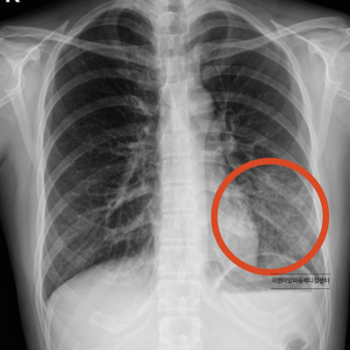
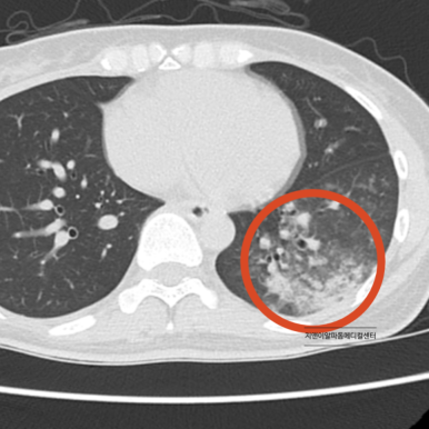
기침 증상으로 내원하셔서 폐렴이 발견된 사례
심장 질환 외에도 만성기침의 흔한 원인은 다음과 같습니다:

✔ 감기 증상 없이 2주 이상 마른기침이 지속되는 경우
✔ 누우면 기침이 심해지고, 앉으면 나아지는 경우
✔ 밤중에 갑자기 숨이 차서 깨는 증상
✔ 기침과 함께 흉통, 부종, 심계항진 등이 동반될 때
✔ 기존 심장질환 병력이 있거나, 고혈압당뇨 등 심혈관 위험인자가 있는 경우

수면 중 기침이 나는 증상으로 자주 깬다면 꼭 심장검사를 받아보세요.
저희 병원은 내과, 영상의학과 협진 시스템을 기반으로,
기침 증상의 원인을 정확하고 신속하게 진단합니다.
기침에 통해 관련 사례를 확인하실 수 있습니다.
보다 많은 증상/사례는 ‘진단 사례’에서 확인하세요.
📍 주 소 :
성남시 분당구 분당내곡로 131 판교테크원타워 지하1층
🅿️ 주 차 :
판교 테크원 빌딩 내 2시간 무료 주차
지하 2층~7층까지 주차시설
🚇 지하철 :
판교역 1번 출구에서 지하로 연결
🕘평일 : 오전 9:00 - 오후 6:00
🕘토요일 : 오전 9:00 - 오후 1:00
🕘점심 : 오후 1:00 ~ 오후 2:00
🕘평일 : 오전 7:30 - 오후 1:00
🕘토요일 : 오전 7:30 - 오후 1:00
🕘점심 : 오후 1:00 ~ 오후 2:00
접수는 운영시간 30분 전에 마감됩니다.
지앤이알파돔메디컬센터의원 | 대표 : 박세진 | 373-96-01477
Copyright G&E Medical All Right Reserved.