한 줄 요약

간암 위험 인자가 있어도 영상에서 양성 병변(혈관종)이 확인되면 과잉 치료를 피하고 주기적 추적이 중요합니다. 본 증례는 지방간 동반으로 생활습관 관리와 간기능 추적이 핵심입니다.

이런 증상이 있었어요

담당의 코멘트

피로감 외 특이 증상은 없었으나 가족력과 표지자 변화를 통해 원인을 살펴보고자 정밀도를 높인 CT를 우선 시행했습니다. 환자분은 가족력과 간수치 상승을 고려했을 때 주기적인 간검사가 필요합니다.

병원에서는 이렇게 진행했어요

  1. 복부 조영 CT(동맥·문맥·지연기)
  2. 간 초음파(추적)
  3. 간기능·바이러스혈청

검사 결과, 쉽게 풀어보기

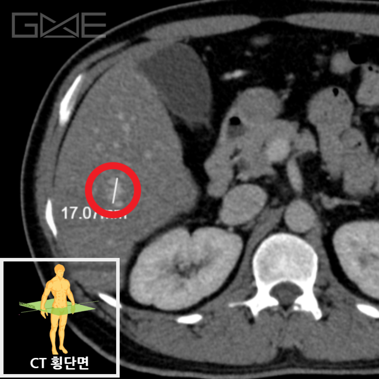
간 실질 전반에 지방간 소견이 보이며, S6 부위에 1.7cm 크기의 혈관종 가능 병변이 관찰됩니다.

지속 추적 시 변화가 없으면 추가 처치 없이 경과 관찰하며, 지방간 개선을 위해 체중 조절·운동·음주 제한을 권합니다.

한마디: 불필요한 공포보다 정확한 영상 추적이 중요합니다. 생활습관 개선이 간 건강의 핵심입니다.

검사 결과 이미지

  • 간CT 횡단면 간CT 횡단면
  • CT 검사 결과 CT 검사 결과

후속조치

주기적인 간검사가 필요


오시는 길

📍 주 소 :

성남시 분당구 분당내곡로 131 판교테크원타워 지하1층

🅿️ 주  차 :

판교 테크원 빌딩 내 2시간 무료 주차

지하 2층~7층까지 주차시설

🚇 지하철 :

판교역 1번 출구에서 지하로 연결


외래 진료 시간

🕘평일 : 오전 9:00 - 오후 6:00

🕘토요일 : 오전 9:00 - 오후 1:00

🕘점심 : 오후 1:00 ~ 오후 2:00

건강검진 운영

🕘평일 : 오전 7:30 - 오후 1:00

🕘토요일 : 오전 7:30 - 오후 1:00

🕘점심 : 오후 1:00 ~ 오후 2:00

접수는 운영시간 30분 전에 마감됩니다.


지앤이알파돔메디컬센터의원 | 대표 : 박세진 | 373-96-01477

Copyright G&E Medical All Right Reserved.