한 줄 요약

고혈압 위기 상황에서 호흡기·소화기 증상이 겹치면 심장성 호흡곤란 및 폐울혈을 의심하기 쉽습니다. 본 케이스는 영상보다 BNP 계열 표지자가 더 결정적이었고, 신속한 전원이 예후에 중요했습니다.

이런 증상이 있었어요

담당의 코멘트

3–4년 전 고혈압 약 중단·폐색전증 치료력 등 위험 요인이 중첩되어 있었습니다. 따라서 혈전 재발 및 심부전 동시 평가가 필요했습니다.

병원에서는 이렇게 진행했어요

  1. X-RAY
  2. 흉부 CT
  3. 심장혈액검사(NT‑proBNP·트로포닌·CK‑MB)
  4. 심전도

검사 결과, 쉽게 풀어보기

CT에서는 폐색전증 직접 소견은 없었고 간유리음영 결절이 보였으나, NT‑proBNP 중증 상승으로 급성 심부전으로 진단. 즉시 상급병원 전원했습니다.

한마디: 숨이 차고 기침이 길어질 때, 수치(BNP)가 영상보다 먼저 답을 줄 때가 있습니다.

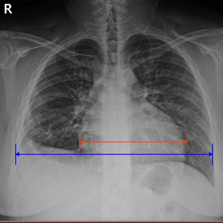
검사 결과 이미지

  • X-RAY 검사에 확인된 심장비대 X-RAY 검사에 확인된 심장비대
  • NT-proBNP 보고 NT-proBNP 보고
  • 흉부 CT: 간유리음영 흉부 CT: 간유리음영

후속조치

급성 심부전으로 즉시 상급병원 전원


오시는 길

📍 주 소 :

성남시 분당구 분당내곡로 131 판교테크원타워 지하1층

🅿️ 주  차 :

판교 테크원 빌딩 내 2시간 무료 주차

지하 2층~7층까지 주차시설

🚇 지하철 :

판교역 1번 출구에서 지하로 연결


외래 진료 시간

🕘평일 : 오전 9:00 - 오후 6:00

🕘토요일 : 오전 9:00 - 오후 1:00

🕘점심 : 오후 1:00 ~ 오후 2:00

건강검진 운영

🕘평일 : 오전 7:30 - 오후 1:00

🕘토요일 : 오전 7:30 - 오후 1:00

🕘점심 : 오후 1:00 ~ 오후 2:00

접수는 운영시간 30분 전에 마감됩니다.


지앤이알파돔메디컬센터의원 | 대표 : 박세진 | 373-96-01477

Copyright G&E Medical All Right Reserved.