한 줄 요약

발열복통이 장염 치료에도 호전되지 않을 경우, 단순 장염과는 다른 원인을 의심해야 합니다. 게실염은 수술을 요하는 병은 아니나, 항생제를 써야 하는 질병으로 단순 장염과는 감별이 필요합니다.

이런 증상이 있었어요

담당의 코멘트

동일 증상으로 이상증상을 호소하여 좀더 세밀한 관찰을 위해 복부CT 검사를 시행하였습니다. 기본 피검사와 복부 X-ray에서는 특이 소견이 없었으나, CT에서 게실염 소견이 확인되었습니다.

병원에서는 이렇게 진행했어요

  1. 피검사
  2. 복부 X-ray
  3. 복부CT

검사 결과, 쉽게 풀어보기

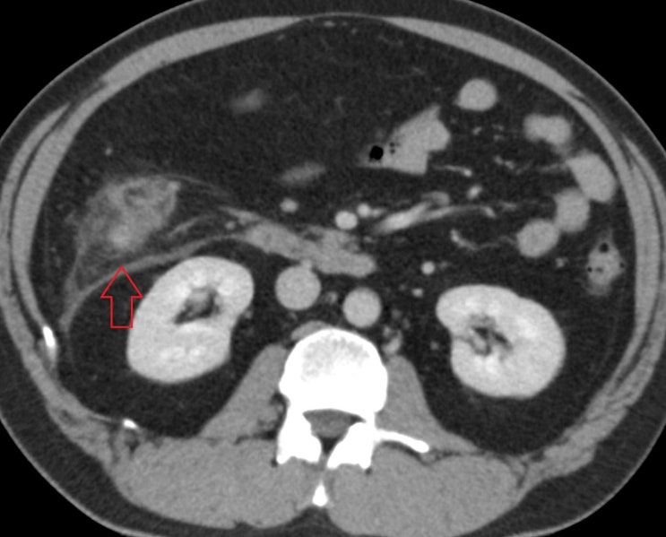
복부CT에서 대장에 있는 게실 주변으로 염증 소견이 확인되었습니다. 게실염은 수술을 요하는 병은 아니나, 항생제를 써야 하는 질병으로 단순 장염과는 감별이 필요합니다.

한마디: 장염 치료에도 복통과 발열이 지속되면, 복부CT를 통해 게실염 등 다른 원인을 확인해야 합니다.

검사 결과 이미지

  • 복부CT: 대장 게실 주변 염증 소견 복부CT: 대장 게실 주변 염증 소견

후속조치

게실염 진단, 항생제 치료 시행


오시는 길

📍 주 소 :

성남시 분당구 분당내곡로 131 판교테크원타워 지하1층

🅿️ 주  차 :

판교 테크원 빌딩 내 2시간 무료 주차

지하 2층~7층까지 주차시설

🚇 지하철 :

판교역 1번 출구에서 지하로 연결


외래 진료 시간

🕘평일 : 오전 9:00 - 오후 6:00

🕘토요일 : 오전 9:00 - 오후 1:00

🕘점심 : 오후 1:00 ~ 오후 2:00

건강검진 운영

🕘평일 : 오전 7:30 - 오후 1:00

🕘토요일 : 오전 7:30 - 오후 1:00

🕘점심 : 오후 1:00 ~ 오후 2:00

접수는 운영시간 30분 전에 마감됩니다.


지앤이알파돔메디컬센터의원 | 대표 : 박세진 | 373-96-01477

Copyright G&E Medical All Right Reserved.