심장 기능 혈액검사
심근 손상과 심부전 평가를 위한 혈액검사로, 급성관상동맥증후군 감별과 예후 평가에 유용합니다.
심비대 원인, 증상, 검사 방법 #심장이 커진 이유
심장이 크다는데 왜 문제가 될까요?
심비대라는 말, 그냥 지나치면 위험할 수 있습니다.
건강검진에서 심비대가 의심됩니다라는 말을 들었다면, 단순히 심장이 튼튼해서 크다는 뜻이 아닐 수 있습니다. 겉으로 보기에 증상이 없다 해도, 심장이 커졌다는 건 그만큼 심장이 무리하고 있다는 신호일 수 있습니다.
심비대는 심장 기능이 약해지고 있다는 경고일 수 있으며, 조기 진단과 원인 치료가 늦어지면 심부전, 뇌졸중, 급사 위험으로 이어질 수 있습니다.

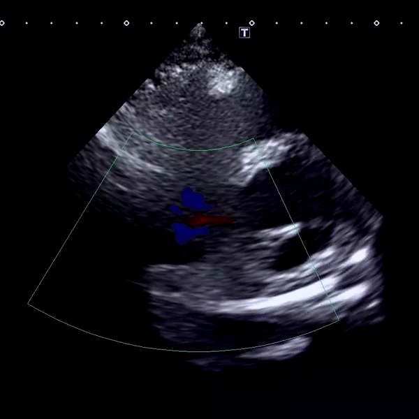
심비대(심장비대증는 말 그대로 심장이 정상보다 커진 상태를 의미합니다. 크게 두 가지 형태로 나눌 수 있습니다:
정상보다 커진 심장은 보기에는 더 크고 튼튼해 보일 수 있지만,
실제로는 혈액을 제대로 내보내지 못하거나,
산소 공급이 부족해진 상태일 수 있습니다.

심비대는 여러 원인으로 발생할 수 있습니다. 가장 중요한 건 원인을 정확히 파악하고 그에 맞는 치료를 시작하는 것입니다.
고혈압
판막질환
심근질환(심근병증)
관상동맥질환(심장 허혈)
운동선수 심장


초기에는 전혀 증상이 없는 경우도 많지만, 심장이 커지고 기능이 약해지면서 다음과 같은 증상이 나타납니다.
✔ 계단을 오를 때 숨이 차거나 밤에 숨쉬기 어려움
✔ 이유 없이 피로감이 심해짐
✔ 가슴이 두근거리거나 맥박이 불규칙함
✔ 다리나 발목이 붓고 저림
✔ 누우면 숨이 막히고 기침이 심해짐 (천식으로 오인되기도 함)
✔ 흉통 또는 가슴 압박감
※위와 같은 증상이 있다면,
단순 피로가 아닌 심장 기능 저하의 신호일 수 있습니다.

심장이 커졌다는 것은 이미 위험이 진행되고 있다는 뜻일 수 있습니다.
진단만 받고 방치하는 것이 가장 위험한 선택입니다.

저희 병원은 내과, 영상의학과 협진 시스템을 기반으로,
심비대 증상의 원인을 정확하고 신속하게 진단합니다.
심비대에 통해 관련 사례를 확인하실 수 있습니다.
보다 많은 증상/사례는 ‘진단 사례’에서 확인하세요.
📍 주 소 :
성남시 분당구 분당내곡로 131 판교테크원타워 지하1층
🅿️ 주 차 :
판교 테크원 빌딩 내 2시간 무료 주차
지하 2층~7층까지 주차시설
🚇 지하철 :
판교역 1번 출구에서 지하로 연결
🕘평일 : 오전 9:00 - 오후 6:00
🕘토요일 : 오전 9:00 - 오후 1:00
🕘점심 : 오후 1:00 ~ 오후 2:00
🕘평일 : 오전 7:30 - 오후 1:00
🕘토요일 : 오전 7:30 - 오후 1:00
🕘점심 : 오후 1:00 ~ 오후 2:00
접수는 운영시간 30분 전에 마감됩니다.
지앤이알파돔메디컬센터의원 | 대표 : 박세진 | 373-96-01477
Copyright G&E Medical All Right Reserved.