한 줄 요약

성인에서도 발견되지 않은 선천성 심장기형이 호흡곤란·흉통의 배경이 될 수 있습니다. 심장 초음파는 좌우 단락을 비침습적으로 확인하는 1차 핵심 검사입니다.

이런 증상이 있었어요

담당의 코멘트

이전 평가에서 놓친 원인을 찾기 위해 도플러 심장초음파 검사를 진행했고, 좌심방과 우심방 사이 중격 부분이 막히지 않아 혈류가 이동하는 심방 중격결손으로 진단하였습니다.

병원에서는 이렇게 진행했어요

  1. 심전도
  2. 흉부 X-ray
  3. 심장초음파(도플러)

검사 결과, 쉽게 풀어보기

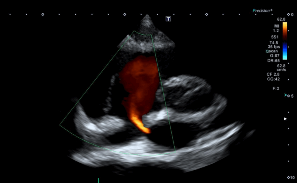
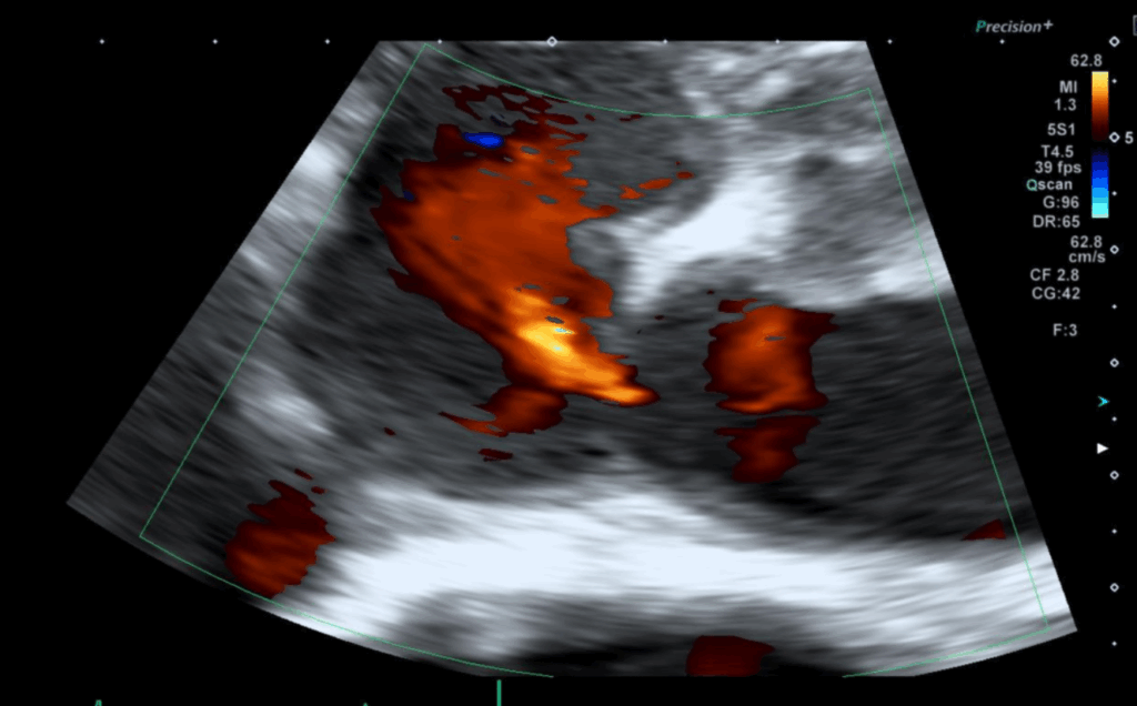
심초음파에서 좌심방과 우심방 사이에 막혀있어야 하는 중격 부분이 막히지 않아 붉은색 혈액 흐름이 관찰되었고 심방중격결손으로 판단했습니다. 환자분은 이전에 선천성 심장 이상소견에 대해 알지 못하는 상태이므로 대학병원으로 진료 연계를 진행하였습니다.

한마디: 원인이 설명되지 않는 흉부 증상에는 심장초음파가 가장 빠르고 정확한 길잡이입니다.

검사 결과 이미지

  • 심장초음파 심장초음파
  • 좌심방과 우심방 혈류 이동 관찰 좌심방과 우심방 혈류 이동 관찰
  • 좌심방과 우심방 혈류 이동 관찰 좌심방과 우심방 혈류 이동 관찰

후속조치

대학병원으로 진료 연계


오시는 길

📍 주 소 :

성남시 분당구 분당내곡로 131 판교테크원타워 지하1층

🅿️ 주  차 :

판교 테크원 빌딩 내 2시간 무료 주차

지하 2층~7층까지 주차시설

🚇 지하철 :

판교역 1번 출구에서 지하로 연결


외래 진료 시간

🕘평일 : 오전 9:00 - 오후 6:00

🕘토요일 : 오전 9:00 - 오후 1:00

🕘점심 : 오후 1:00 ~ 오후 2:00

건강검진 운영

🕘평일 : 오전 7:30 - 오후 1:00

🕘토요일 : 오전 7:30 - 오후 1:00

🕘점심 : 오후 1:00 ~ 오후 2:00

접수는 운영시간 30분 전에 마감됩니다.


지앤이알파돔메디컬센터의원 | 대표 : 박세진 | 373-96-01477

Copyright G&E Medical All Right Reserved.