한 줄 요약

심전도가 정상처럼 보여도 심근표지자심장 벽운동 평가를 통합하면 숨은 심근경색을 잡아낼 수 있습니다. 의심될 때는 검사를 진행하는 것이 우선입니다.

이런 증상이 있었어요

담당의 코멘트

야간부터 시작된 전흉부 통증이 지속된것은 중요한 신호로, 심전도 검사결과 정상이나 혈액검사 및 심장초음파 걸사를 통해 응급상황에 대처할 수 있었습니다.

병원에서는 이렇게 진행했어요

  1. 심전도
  2. 심장초음파
  3. 심근표지자(CK‑MB·Troponin I)

검사 결과, 쉽게 풀어보기

혈액검사 중 CK‑MB 상승은 심장근육 손상을 나타내고, Troponin I 0.54 ng/mL 수치는 심근경색을 판단하는 중요한 지표로, 초음파상 외측벽 국소 운동저하를 종합적으로 고려하여 심근경색으로 판단. 응급실로 즉시 후송했습니다.

한마디: 흉통이 새롭거나 강해지면 스스로 판단하지 말고 곧바로 심장 검사를 받으십시오.

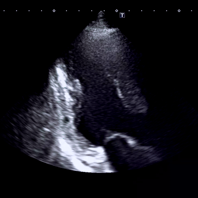
검사 결과 이미지

  • 심전도 검사 및 혈액검사 결과 심전도 검사 및 혈액검사 결과
  • 심장초음파 결과: 심장 기저부 외측벽에서 국소적인 벽운동 장애 심장초음파 결과: 심장 기저부 외측벽에서 국소적인 벽운동 장애

후속조치

상급병원 응급실로 후송


오시는 길

📍 주 소 :

성남시 분당구 분당내곡로 131 판교테크원타워 지하1층

🅿️ 주  차 :

판교 테크원 빌딩 내 2시간 무료 주차

지하 2층~7층까지 주차시설

🚇 지하철 :

판교역 1번 출구에서 지하로 연결


외래 진료 시간

🕘평일 : 오전 9:00 - 오후 6:00

🕘토요일 : 오전 9:00 - 오후 1:00

🕘점심 : 오후 1:00 ~ 오후 2:00

건강검진 운영

🕘평일 : 오전 7:30 - 오후 1:00

🕘토요일 : 오전 7:30 - 오후 1:00

🕘점심 : 오후 1:00 ~ 오후 2:00

접수는 운영시간 30분 전에 마감됩니다.


지앤이알파돔메디컬센터의원 | 대표 : 박세진 | 373-96-01477

Copyright G&E Medical All Right Reserved.